肾上腺脑白质营养不良你见过吗?

发布时间:2024-09-02

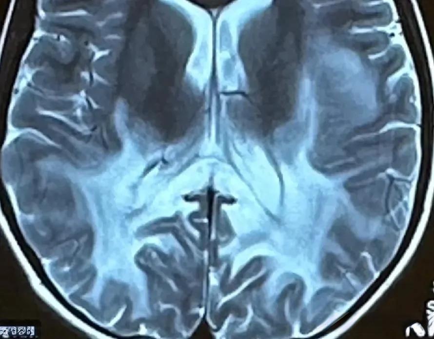
Image

肾上腺脑白质营养不良(Adrenoleukodystrophy,ALD)是一种罕见的X连锁隐性遗传病,主要影响神经系统和肾上腺。据估计,ALD的发病率约为0.5/10万~1/10万,其中95%为男性患者,5%为女性杂合子。这种疾病由位于X染色体上的ABCD1基因突变引起,导致极长链脂肪酸(VLCFA)在体内异常积累,从而损害脑白质和肾上腺功能。

ALD的临床表现多样,可分为几种主要类型。儿童脑型是最常见的类型,通常在5-12岁发病,初期表现为注意力不集中、记忆力减退、学习困难等症状,随后可能出现视力和听力下降、构音障碍、共济失调、瘫痪和癫痫发作等严重症状。青少年脑型和成人脑型的发病年龄较晚,但临床表现与儿童脑型相似。肾上腺脊髓神经病(AMN)型主要影响20-40岁的患者,表现为下肢痉挛性瘫痪、括约肌和性功能障碍等。Addison型则主要表现为肾上腺皮质功能不全,可见于任何年龄。

诊断ALD主要依赖于临床表现和一系列检查。血液检测发现VLCFA水平升高是诊断的关键指标,同时基因检测可以确认ABCD1基因突变。磁共振成像(MRI)可以显示脑白质的异常,特别是“蝶翼状”改变是ALD的特征性表现。此外,视力检查和皮肤活检也有助于诊断。

目前,ALD尚无特效治疗方法。对于儿童脑型患者,尽早进行干细胞移植可能是阻止疾病进展的有效手段。然而,这种治疗方式存在一定的风险和局限性。近年来,基因治疗显示出令人鼓舞的前景。一项针对早期脑型ALD男孩的临床试验显示,88%的参与者病情进展趋于稳定。尽管如此,评估基因治疗的长期效果和安全性还需要更多的研究。

ALD的研究面临诸多挑战,包括疾病的异质性、诊断的复杂性以及治疗手段的局限性。未来的研究方向可能包括开发更精准的诊断方法、探索新的治疗策略,以及深入理解疾病的分子机制。随着基因编辑技术和干细胞研究的进展,我们有理由期待在ALD治疗领域取得突破性进展,为患者带来新的希望。