晨起或刷牙时牙龈出血,时好时坏反复发作?两方面解读,受益终身

发布时间:2024-09-18

Image

晨起或刷牙时牙龈出血,看似是个小问题,却可能暗藏健康隐患。这种现象时好时坏反复发作,让人困扰不已。让我们从两个方面来解读这个问题,帮助你受益终身。

牙龈出血的日常护理建议

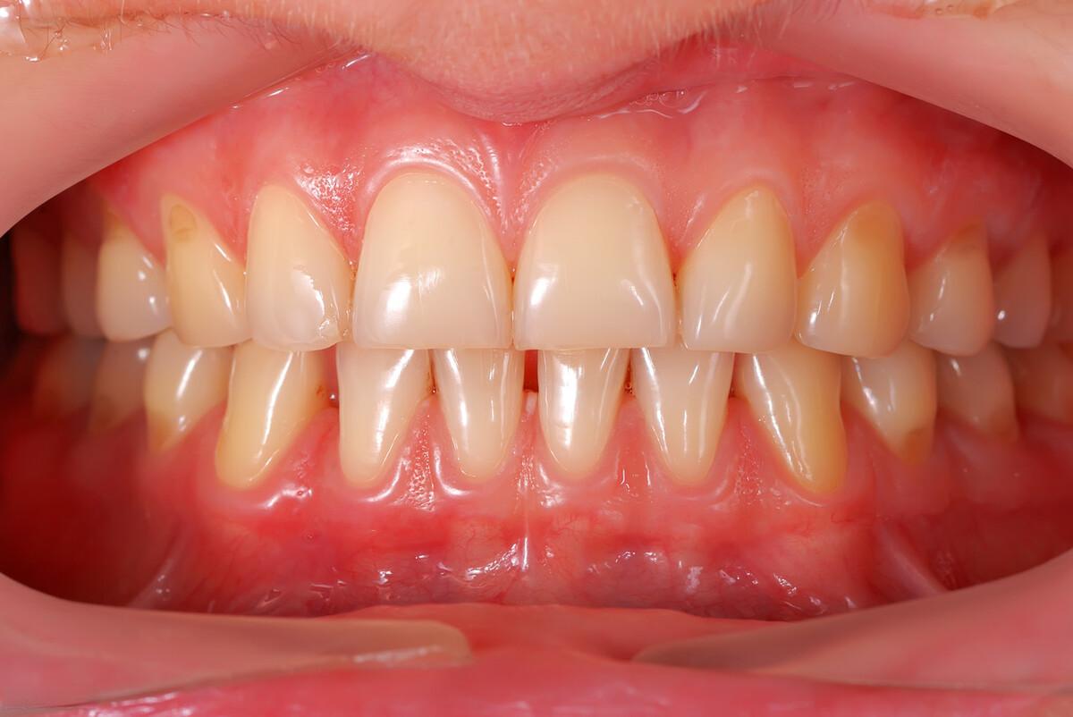
首先,从日常护理的角度来看,牙龈出血往往是口腔卫生不佳的信号。根据丁香医生的报道,牙龈出血的主要原因之一是牙齿长期没有清理干净,导致牙龈炎症。健康的牙龈是粉红色的,能够承受外界摩擦压力,同时阻止食物残渣进入牙缝。而不注意口腔卫生会导致牙菌斑堆积,形成牙结石,引发牙龈炎症。

针对这种情况,我们可以采取以下措施:

  1. 定期洗牙:建议每半年或一年洗一次牙,清除牙结石,营造良好的牙齿周围环境。

  2. 正确刷牙:采用巴氏刷牙法,每天坚持正确刷牙,靠近牙龈刷牙,不要因为害怕出血而避开牙龈。

  3. 使用齿间清洁工具:每天使用牙线、牙邻间刷或洁牙器清洁牙缝,去除隐藏的食物残渣和牙菌斑。

牙龈出血可能预示的健康风险

然而,牙龈出血不仅仅是口腔卫生问题那么简单。它可能是某些潜在健康风险的信号。

  1. 牙周炎:牙龈炎症如果不及时处理,可能会发展成牙周炎。牙周炎会导致牙齿松动、牙槽骨吸收,最终可能导致牙齿脱落。

  2. 全身健康问题:牙龈出血还可能是某些全身性疾病的口腔表现。例如,维生素C缺乏可能导致血管变脆,刷牙时用力过重会引起牙龈出血。此外,某些血液疾病也可能表现为牙龈出血。

因此,如果发现牙龈连续一周都有出血现象,或者隔三差五出血,就应该提高警惕,必要时及时就医检查。

总的来说,晨起或刷牙时牙龈出血是一个值得重视的问题。它不仅影响口腔健康,还可能预示着潜在的全身健康风险。通过正确的日常护理和及时的医疗干预,我们可以有效预防和控制牙龈出血,保持口腔健康,从而受益终身。