脑血管造影的罕见并发症空气栓塞!脑血管进空气会怎样?

发布时间:2024-09-16

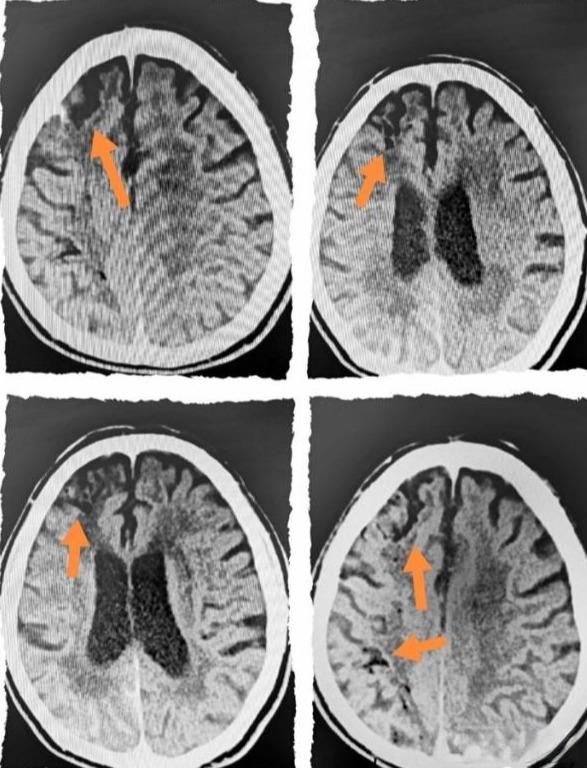
Image

脑血管造影是诊断脑血管疾病的“金标准” ,但这一重要检查也存在罕见但危险的并发症 - 空气栓塞。2020年,一名63岁女性患者在接受胃底静脉曲张组织胶治疗时,不幸发生了脑动脉空气栓塞。这一案例再次提醒我们,即使是常规的医疗操作,也可能带来意想不到的风险。

空气栓塞的发生机制相对简单,却极其危险。 在脑血管造影过程中,如果空气意外进入血管,这些气泡会随着血液流动,最终可能阻塞脑部血管。即使只有2-3毫升的空气,也可能导致严重后果,甚至危及生命。这是因为大脑对血液供应的要求极为严格,任何阻塞都可能造成不可逆的神经损伤。

空气栓塞的症状通常来得突然且剧烈。患者可能会突然感到剧烈头痛,随后出现意识障碍、言语不清、肢体无力等症状。如果不及时处理,这些症状可能会迅速恶化,导致永久性神经功能损害。因此,早期识别和诊断至关重要。

然而,空气栓塞的诊断并不总是直截了当。在紧急情况下,医生可能会首先考虑更常见的并发症,如脑出血或血栓形成。但通过仔细检查和必要的影像学检查,如头颅CT或MRI,通常可以发现空气栓塞的特征性表现。

一旦确诊,治疗必须迅速而果断。 首要任务是停止任何可能导致更多空气进入血管的操作。接下来,可能需要使用高压氧舱治疗,这是一种特殊的医疗设备,可以增加血液中的氧气含量,帮助气泡更快地溶解。同时,可能还需要使用药物来改善脑血流,减轻脑水肿。

预防永远胜于治疗。 为了避免空气栓塞的发生,医生在操作时必须格外小心,确保所有连接紧密,避免空气进入血管。此外,使用更先进的技术和设备,如数字减影血管造影(DSA),可以减少操作时间,从而降低并发症的风险。

尽管存在这些风险,脑血管造影仍然是诊断和治疗脑血管疾病不可或缺的工具。它可以帮助医生准确了解血管状况,为后续治疗提供重要依据。据统计, 脑卒中是我国成人致死、致残的首位病因 ,而脑血管造影在脑卒中的诊断和治疗中扮演着关键角色。

对于患者来说,了解这些潜在风险非常重要,但也不必过度担心。在选择接受脑血管造影时,应该与医生充分沟通,了解检查的必要性、可能的风险以及预防措施。同时,选择有经验的医疗团队和设备先进的医院进行检查,可以大大降低并发症的风险。

总的来说,脑血管造影是一项重要的医疗技术,但并非没有风险。空气栓塞虽然罕见,但其潜在的严重后果不容忽视。通过医患双方的共同努力,我们可以最大限度地发挥这项技术的优势,同时将风险降到最低。在追求精准诊断和治疗的同时,我们也不能忘记医疗的本质 - 保障患者的安全和健康。