乳腺癌MP分级

发布时间:2024-09-02

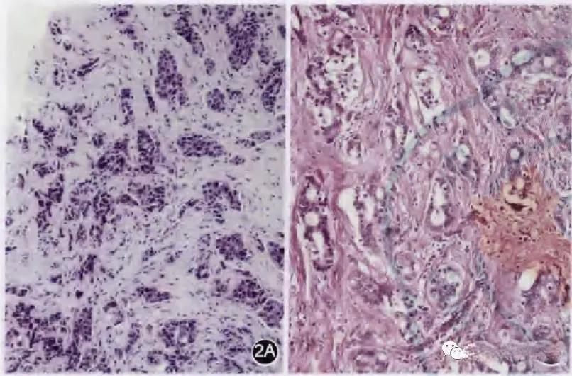
Image

Image

乳腺癌是全球女性最常见的恶性肿瘤之一,其治疗和预后评估需要精确的病理分级。近年来,Miller-Payne(MP)分级系统在乳腺癌新辅助治疗后的病理评估中得到了广泛应用,为制定个体化治疗方案提供了重要依据。

MP分级系统主要用于评估乳腺癌患者在接受新辅助治疗(如化疗)后的病理反应程度。该系统将病理反应分为5个等级(MP1-5),其中MP5表示完全病理缓解,即肿瘤完全消失。MP分级的评估主要基于肿瘤细胞的数量、结构变化以及炎症反应等方面。例如,MP1级表示肿瘤细胞数量无明显减少,而MP5级则表示肿瘤细胞完全消失,仅残留纤维化或瘢痕组织。

与传统的乳腺癌分级系统相比,如Nottingham分级(基于腺管形成、细胞核多形性和核分裂象计数),MP分级更侧重于评估新辅助治疗的效果。Nottingham分级主要用于判断乳腺癌的恶性程度,而MP分级则主要用于评估治疗反应。两者虽然关注点不同,但在临床实践中常常需要结合使用,以全面评估患者的病情和预后。

MP分级在临床实践中具有重要价值。研究表明,MP分级与乳腺癌患者的长期生存密切相关。例如,达到MP5级别的患者往往有较好的预后。此外,MP分级还可以帮助医生判断后续治疗方案,如是否需要进一步手术或改变治疗策略。然而,MP分级的评估也存在一定的主观性,不同病理学家的判断可能有所差异,这需要通过持续的培训和质量控制来提高评估的一致性。

尽管MP分级在乳腺癌新辅助治疗评估中显示出重要价值,但它并非完美无缺。例如,MP分级主要基于组织学变化,可能无法全面反映肿瘤的生物学特性。近年来,随着分子生物学技术的发展,基于基因表达谱的分子分型(如Luminal A/B型、HER2+型和Basal-like型)也逐渐应用于乳腺癌的分类和预后评估。未来,将MP分级与分子分型等多维度信息相结合,可能会为乳腺癌的精准治疗提供更全面的指导。

总的来说,MP分级作为乳腺癌新辅助治疗后病理评估的重要工具,为临床决策提供了有价值的参考。然而,我们也要认识到,单一的分级系统难以全面反映乳腺癌的复杂性。未来,结合多维度信息的综合评估体系可能会成为乳腺癌个体化治疗的新方向。在这个过程中,病理学家、临床医生和研究人员需要密切合作,不断优化评估方法,以提高乳腺癌治疗的精准性和有效性。