左侧门静脉高压症CT诊断「武汉高尚医学影像」

发布时间:2024-09-19

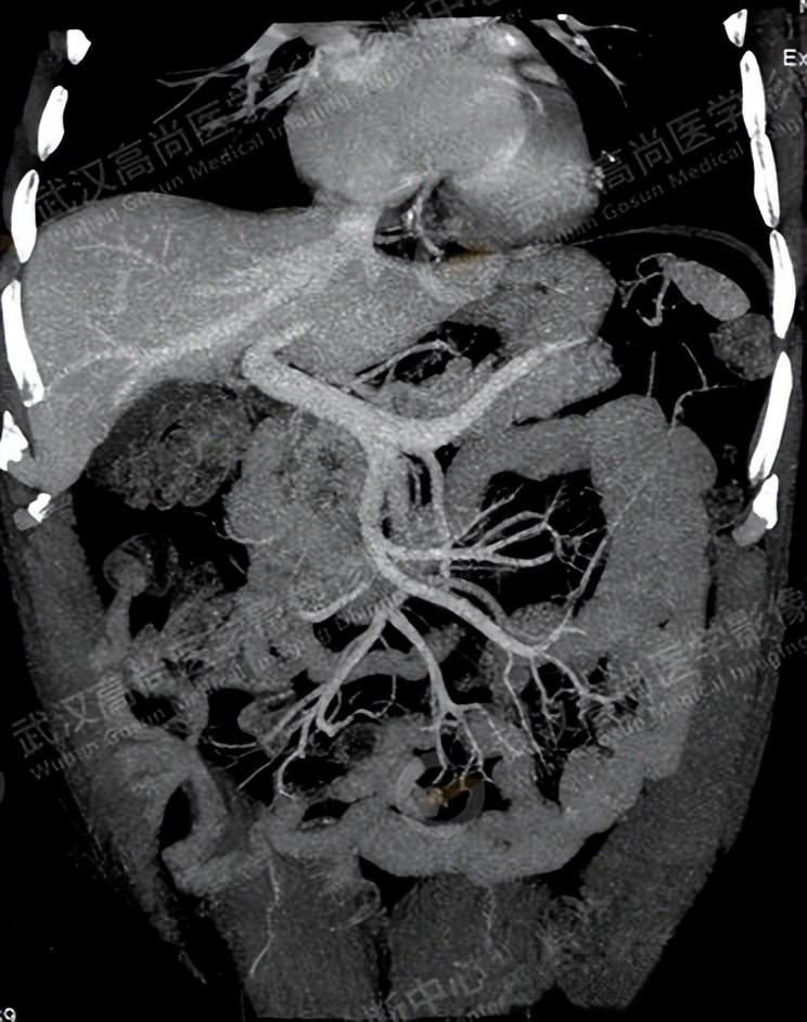
Image

左侧门静脉高压症(LSPH)是一种由脾静脉梗阻引起的区域性门静脉高压 ,约占肝外型门静脉高压症的5%。随着对其认识的提高,文献报道病例逐年增加。 CT作为一种重要的影像学检查手段,在LSPH的诊断中发挥着关键作用。

LSPH的发病机制主要与脾静脉的解剖特点有关。脾静脉紧贴胰腺后方走行,与胰腺体尾部伴行,部分脾静脉在胰腺体尾部常被胰实质包绕。这种特殊的解剖结构使得脾静脉容易受到胰腺疾病的影响。胰腺疾病是LSPH最常见的原因,占73.2%-86.7%。其他原因还包括脾源性、腹膜后源性、医源性等。

在LSPH的诊断中,CT因其全面性和准确性而成为目前应用最为广泛的方法。CT可以清晰显示原发病灶、脾静脉及其病变、静脉曲张、脾肿大以及肝脏及肝门静脉是否正常。通过CT增强+血管成像,可以观察到脾静脉狭窄、胃短静脉曲张、胃底静脉曲张、胃冠状静脉扩张等特征性表现。例如,在一例慢性胰腺炎急性发作的患者中,CT增强+血管成像显示脾静脉狭窄,脾门及胃网膜静脉曲张,脾-肾静脉分流,而肝门静脉及肠系膜上静脉正常。

然而,CT诊断LSPH也存在一定的局限性。首先,CT检查存在辐射,对于需要长期随访的患者来说,可能增加辐射暴露风险。其次, CT对一些小的血栓或早期病变可能不够敏感。 此外,CT检查费用相对较高,可能限制其在一些医疗资源有限地区的广泛应用。

与其他影像学检查方法相比,CT在LSPH诊断中具有独特优势。超声检查虽然无创、经济,但对一些附壁的小血栓检出率较低,且易受到检查者及患者个体差异的影响。MRI诊断能力优于多普勒超声,但在显示血管结构方面不如CT清晰。血管造影(DSA)是诊断的金标准,但属于有创检查,且操作复杂,一般只在无条件行CT、MRI检查或介入治疗前实施。

武汉高尚医学影像诊断中心在LSPH的CT诊断方面做出了重要贡献。该中心通过大量病例分析,总结了LSPH的CT表现特征,并提出了CT在鉴别诊断中的关键作用。例如,LSPH与肝源性门静脉高压在CT表现上有明显差异:LSPH患者肝功能正常,无肝硬化表现,而肝源性门静脉高压患者常伴有肝硬化、腹水等症状。

CT诊断LSPH的意义不仅在于明确诊断,更重要的是为后续治疗提供依据。根据CT检查结果,医生可以判断是否需要手术治疗,选择合适的手术时机和方式。对于有出血症状的LSPH患者,CT诊断可以指导及时有效的治疗,避免因失血性休克危及生命。

展望未来,CT在LSPH诊断中的应用仍有进一步发展的空间。随着CT技术的进步,如能谱CT的应用,可能会提高对LSPH的诊断准确性。同时,如何在保证诊断准确性的同时,减少辐射暴露,也是未来研究的方向之一。

总之,CT作为一种全面、准确的影像学检查方法,在左侧门静脉高压症的诊断中发挥着不可替代的作用。通过CT检查,可以及时发现病变,为患者提供精准的诊断和治疗方案,从而改善患者的预后。