年纪轻轻掉光牙,成年人后半生的痛,医生:这个时候就医可保牙齿

发布时间:2024-09-18

Image

“8020”是世界卫生组织提出的牙齿健康标准,即80岁老人至少应保留20颗功能牙。然而,现实情况令人担忧。一项调查显示,我国65-74岁老年人中,82%存在牙缺失,4.5%全口无牙。更令人意外的是,越来越多的年轻人也面临着牙齿松动甚至脱落的困境。

为什么年轻人也会掉牙?牙周炎是罪魁祸首。根据流行病学调查,35-44岁成年人中,牙周炎患病率超过30%,55-64岁年龄段这一比例接近80%。牙周炎的发展往往悄无声息,如同温水煮青蛙,许多人在早期并不在意。

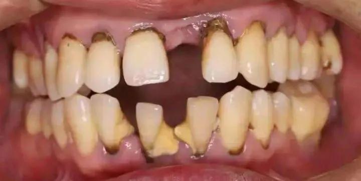
牙周炎的早期症状包括牙龈发红、刷牙时出血,甚至啃苹果后留下血印。如果不及时治疗,牙龈会逐渐退缩,牙齿间的缝隙变大,形成难看的“黑三角”。随着病情进展,牙齿开始松动,咀嚼无力,甚至出现脓液渗出。最终,牙齿可能完全脱落。

面对牙周炎,及时治疗至关重要。治疗方法主要包括:

  1. 洗牙:通过超声波洁治工具清除牙齿周围的牙结石和牙菌斑。

  2. 刮治:针对隐藏在牙龈深处的牙结石,需要更精细的工具进行清洁,通常在局部麻醉下进行。

  3. 牙周手术:当洗牙和刮治无法解决问题时,可能需要进行手术,彻底清除深层的牙结石。

  4. 药物治疗:在急性炎症期,可使用甲硝唑等抗菌药物辅助治疗。

  5. 调磨、固定和拔牙:对于松动或移位的牙齿,可能需要进行调磨或使用牙周夹板固定。对于无法保留的牙齿,拔牙也是一种治疗选择。

然而,最好的治疗是预防。日常口腔卫生至关重要:

  1. 每天至少刷牙两次,每次2分钟以上,使用巴氏刷牙法。

  2. 每天使用牙线清洁牙缝,对于牙缝较大的情况,可使用牙缝刷。

  3. 定期洗牙,通常建议每年至少一次。

  4. 注意饮食,少喝甜饮料,多喝茶水,因为茶中的氟和茶多酚有助于防龋固齿。

  5. 避免用牙齿咬过硬的食物或物品,如开瓶盖等。

  6. 定期进行口腔检查,及时发现并处理问题。

牙齿健康不仅关乎美观,更与全身健康密切相关。良好的咀嚼功能有助于营养吸收,而牙周炎等口腔疾病则可能增加心脏病、糖尿病等全身性疾病的风险。因此,年轻人更应该重视口腔健康,不要等到牙齿松动才开始关注。定期检查,及时治疗,才能真正做到“8020”,享受健康人生。