当肺磨玻璃结节变成部分实性结节,就不要犹豫不决了

发布时间:2024-09-18

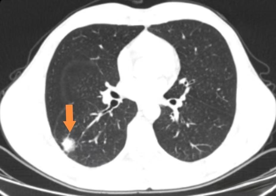
Image

肺结节的演变过程往往预示着潜在的健康风险。当一个原本透明的磨玻璃结节逐渐转变为部分实性结节时,医生和患者都需要提高警惕。这种变化可能意味着结节的性质正在发生重要转变,需要及时采取进一步的诊断和治疗措施。

磨玻璃结节(GGO)是一种在CT影像上表现为密度轻度升高的肺部阴影,通常边界清晰。这种结节在早期肺癌筛查中较为常见,但大多数情况下是良性的。然而, 当磨玻璃结节中开始出现实性成分,形成所谓的部分实性结节时,其恶性潜能就显著增加了。

根据中国肺部结节分类、诊断与治疗指南(2016年版), 部分实性结节是指在CT影像上既有磨玻璃成分又有实性成分的肺结节。 这种结节的出现往往提示可能存在原位腺癌或微浸润性腺癌,这两种情况都需要密切监测或积极治疗。

对于直径在8-30毫米之间的孤立实性肺结节,指南建议根据具体情况选择连续随访、PET-CT检查、穿刺活检或手术切除。 而对于直径小于8毫米的实性肺结节,则需要根据患者是否有肺癌危险因素和结节大小来决定随访策略。

对于部分实性结节,特别是那些实性成分直径大于8毫米的结节,PET-CT检查可以提供有价值的诊断信息。 当PET-CT显示标准化摄取值(SUV)大于2.5时,恶性可能性较大,诊断敏感度可达72-94%。

面对这种结节性质的变化,患者不应过度恐慌,但也不能掉以轻心。正确的做法是与医生密切合作,按照指南建议进行定期随访和必要的检查。同时,患者还应该注意调整生活方式,如戒烟、避免有害物质接触等,以降低肺癌风险。

总之,当肺磨玻璃结节转变为部分实性结节时,确实是一个需要引起重视的信号。及时的诊断和恰当的治疗决策对于预防潜在的健康风险至关重要。患者应该保持冷静,积极配合医生的建议,共同制定最佳的健康管理方案。