脑肿瘤从无到有需要多长时间?是脑梗死,还是脑肿瘤?

发布时间:2024-09-19

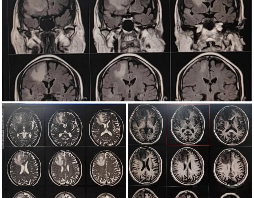
Image

脑肿瘤和脑梗死虽然都属于脑部疾病,但它们的性质、形成过程和治疗方法却大不相同。脑肿瘤是脑部细胞异常增生形成的肿块,而脑梗死则是由于脑血管阻塞导致的脑组织缺血坏死。那么,脑肿瘤从无到有需要多长时间呢?

脑肿瘤的形成是一个渐进的过程,通常需要数月到数年的时间。根据美国癌症协会的数据,大多数脑肿瘤在被发现时已经存在了2-5年。这个过程可以分为几个阶段:首先,正常的脑细胞开始异常增殖;然后,这些异常细胞聚集形成肿瘤;最后,肿瘤可能开始侵犯周围脑组织或通过血液和淋巴系统扩散到其他部位。

相比之下,脑梗死的发生往往更为突然。当脑血管突然阻塞时,受影响区域的脑细胞会在几分钟内因缺氧而死亡。根据《中华医学期刊》的报道,如果全脑血供完全中断6秒,患者就会出现意识丧失;5分钟后,就会出现不可逆的脑损伤。

在症状方面,脑肿瘤和脑梗死也有明显区别。脑肿瘤的症状通常包括头痛、恶心、呕吐、视力变化、平衡障碍和认知功能下降等,这些症状可能会逐渐加重。而脑梗死的症状则更加急性,如突然出现的一侧肢体无力或麻木、面部麻木或口角歪斜、言语不清等。专家建议,如果出现这些症状,应立即拨打120就医。

诊断方法上,脑肿瘤通常需要通过MRI或CT扫描来确认。而脑梗死则可以通过CT扫描、MRI或血管造影来诊断。值得注意的是,早期诊断对两种疾病都至关重要。对于脑肿瘤,早期发现可以提高治疗成功率;对于脑梗死,时间就是大脑,越早治疗,越能减少脑损伤。

在治疗方面,脑肿瘤的治疗可能包括手术切除、放疗和化疗等。而脑梗死的治疗则强调超急性期血管再通,包括静脉溶栓、动脉溶栓和介入机械取栓等。然而,目前我国接受有效血管再通治疗的脑梗死患者只有2%,远低于发达国家水平。

总的来说,脑肿瘤和脑梗死虽然都可能导致严重的健康问题,但它们的形成过程、症状、诊断和治疗都有很大差异。了解这些区别,有助于我们更好地识别和应对这两种疾病。无论面对哪种情况,及时就医都是关键。保持健康的生活方式,定期体检,才能更好地预防和应对这些潜在的健康威胁。