远离龋齿和牙周病其实很简单,搞定你口中的牙菌斑就可以

发布时间:2024-09-18

Image

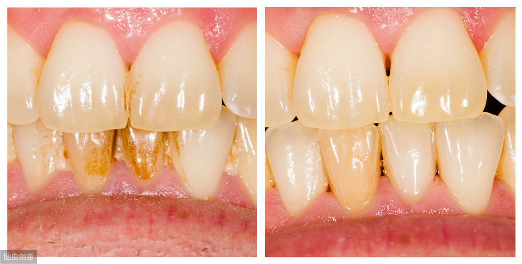
牙菌斑是导致龋齿和牙周病的罪魁祸首。 这种透明的黏膜覆盖在牙齿上,由细菌、食物残渣和唾液中的物质组成。当我们在进食后没有及时清洁口腔时,牙菌斑就会迅速形成。如果不加以控制,它会在牙齿表面硬化,形成牙垢,为细菌提供保护层。

牙菌斑中的细菌会分解食物中的糖分,产生酸性物质。这些酸性物质会腐蚀牙齿的保护层——牙釉质,导致小孔洞的形成,这就是龋齿的开始。如果不及时处理,龋齿会继续发展,侵入牙齿内部,引起疼痛和感染。牙周病则是由牙菌斑引起的另一种常见口腔疾病,它会导致牙龈发炎、出血,严重时甚至会导致牙齿松动和脱落。

幸运的是,控制牙菌斑其实很简单。以下是一些有效的方法:

  1. 每天至少刷牙两次,每次至少两分钟。 使用含氟牙膏可以增强牙齿的抗酸能力。

  2. 使用牙线或间隙刷清洁牙缝。 牙刷无法触及这些区域,而牙缝正是牙菌斑容易聚集的地方。

  3. 每天使用一次含氟漱口水。 这可以帮助清除残留的细菌,并增强牙齿的抗酸能力。

  4. 定期去看牙医。 专业的洁牙可以去除日常清洁无法清除的牙垢。

  5. 控制甜食和碳酸饮料的摄入。 这些食物会为牙菌斑中的细菌提供养分。

  6. 饭后漱口。 即使没有条件刷牙,用清水漱口也可以冲走部分食物残渣。

  7. 考虑使用牙齿封闭剂。 这是一种涂在后牙咀嚼面上的保护层,可以防止食物残渣和细菌进入牙齿的窝沟和缝隙。

通过这些简单的日常习惯,我们可以有效控制牙菌斑的形成,从而大大降低患龋齿和牙周病的风险。记住,预防永远比治疗更容易,也更经济。让我们从现在开始,养成良好的口腔卫生习惯,保护我们的牙齿健康。