狂犬病病毒有多恶毒?一口一口“吃掉”了你大脑...

发布时间:2024-09-18

image 问:狂犬病一旦发病,真的完全无法生还吗? 答:没错,因为狂犬病会一点一点地“啃食”你的大脑。

01

狂犬病病毒的可怕之处在于它专门攻击神经系统。
当你刚被咬时,狂犬病毒会潜伏在肌肉细胞中悄悄繁殖,甚至能够躲避免疫系统。
一旦繁殖到足够的数量,病毒会与神经肌肉接点的乙酰胆碱受体结合 ,然后通过神经细胞轴突向神经元胞体移动。
反射神经元的胞体主要集中在脊髓中,神经纤维像高速公路一样,狂犬病毒沿神经轴突传播速度为每天5-100毫米,平均时速为3毫米。
对不依赖体液系统传播的病毒来说,这已经相当快了。
这意味着,感染相同数量病毒的情况下,咬伤位置距离中枢神经越近,发病会越快,反之则会越慢。
假如病毒在人体内停留7天,脖子被咬,则3天后发病,共10天;但若脚踝被咬,同样条件可能需一个月后发病。
狂犬病的这种传播方式容易让远离中枢神经的小伤口被忽视。
image 小伤口感染的狂犬病毒数量较少,繁殖速度慢,加之远离中枢神经,往往具有较长潜伏期,尤其是免疫系统能够稍微抗衡的情况下,潜伏期可长达数年。
多年前的小伤口谁还记得?一旦发病,便是覆水难收。

02 潜伏期 通常狂犬病的潜伏期为1到3个月,但如果面部被咬且感染量大、免疫力低,潜伏期可短至7天,最短记录为4天。
狂犬病毒刚开始不会直接进入脊髓神经元胞体,而是在背根神经节中大量繁殖。
image 等到病毒积攒到足够大的数量后才会进入脊髓,意味着它们已经进入了中枢神经系统。
在中枢神经系统内,狂犬病毒开启了“狂暴”模式,迅速到达小脑和大脑。
当大脑受到攻击,狂犬病便会发作。
病毒在中枢神经系统内达到一定数量后,会开始影响神经的基本生理功能,表现出一些症状,此期被称为前驱期。
image 患有狂犬病的病犬

03 前驱期 前驱期症状各异,但主要表现为头痛、发热、疲倦、恶心、食欲不振以及全身不适等症状 ,喉咙会感到紧缩,并对声音、光线、风等外界刺激非常敏感。
50%到80%的患者由于病毒在伤口附近大量繁殖,愈合的伤口处会感到麻木、发痒,甚至有刺痛感(蚁行感)。
前驱期通常持续2到4天,不超过10天。
当病毒在中枢神经中大肆繁殖并破坏神经结构后,则进入了兴奋期。
image

04 兴奋期 当病毒进入脑干和小脑,患者会因为中枢神经受损而出现精神错乱,极度恐惧不安,并伴有幻觉、谵妄和幻听等症状。
典型的怕水、怕风、怕光、怕声症状便出现在这一时期。
狂犬病毒在中枢神经灰质中大量繁殖后,还会通过神经下行传到其他部位,如口腔、眼睛、鼻子、心脏和肺等。
神经网络作为一个整体,理论上狂犬病毒可以顺着神经系统传遍身体的每个角落。
image 狂犬病毒对神经元的破坏会引起患者迷走神经核、舌咽神经核以及舌下神经核的损伤,看见或听到水声时,会产生强烈的呼吸道保护性反射,导致长达五分钟的呼吸和吞咽肌肉痉挛,极其痛苦。
恐水症发生率高达80%。
轻度时会有声音嘶哑、吐字不清,重度时甚至可能出现窒息而死。
由于交感神经受损,唾液和汗液分泌增多,身体会缺水,口干舌燥,但又因恐水陷入极度痛苦之中。
由于体温调节机制被破坏,还会出现高烧和脱水。
image 被咬后,注射疫苗是预防狂犬病的唯一方法 心脏神经节损伤会导致心血管功能紊乱,甚至引起猝死。
随着狂犬病毒大量繁殖,中枢神经损伤加剧,影响大脑皮层 ,患者的认知能力会逐渐退化。
患者往往面部扭曲、躁动不安,频繁发狂、尖叫,甚至出现自残行为。
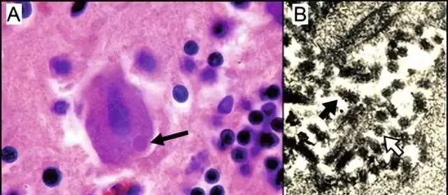
这时可能会出现急性弥漫性脑脊髓炎,大脑基底面、海马体以及脑干和小脑都出现明显病变——嗜酸性包涵体(内基氏小体Negri bodies)。[3] image 内基氏小体是一种硬壳小体 内为狂犬病毒集落 存在于细胞浆内 3~10μm大小 在这个时期,患者可能随时因中枢神经、呼吸、心脏衰竭或高血压、中风而死亡。
随着病毒通过神经网络扩散到全身各个器官,人体内的病毒达到了巅峰。
病毒大量出现在唾液等分泌物中,传染性极高。
进入兴奋期后,几乎没有治疗可能,通常持续1到3天。
随着患者抽搐停止,进入感染末期——麻痹期。
image

05 麻痹期 与兴奋期的剧烈不同,末期狂犬病患者往往更加安静,甚至进入昏迷状态。
有时会出现短暂的好转迹象,甚至恢复一定的意识,但很快意识会再次模糊,出现各种瘫痪症状,呼吸和心跳很快减弱。
皮肤因失去血色而湿冷呈花纹状,指端呈青灰色。
患者鼻腔会流出咖啡色液体,很快因呼吸、循环系统等多器官衰竭而死亡。
持续时间仅为6到18小时。
狂犬病的可怕在于它对神经系统的破坏力及其极高的致死率。
image 虽然狂犬病毒本身并不顽强,甚至可以说相当脆弱,它对光、热、紫外线以及干燥、有机溶剂的抵抗力都较弱。
哪怕使用常见的甲醛、酒精甚至肥皂水及一些消毒剂或去污剂都能将其灭活。[4] 但由于病毒“狡猾地”藏于犬类等动物体内,让人防不胜防。
越早注射疫苗,阻断效果越好 ,但最晚一定要在前驱期前完成。
进入兴奋期后,几乎无治愈可能。
目前的确存在病发后治愈的案例,其中以“密尔沃基疗法”最为知名。
image 该疗法通过诱导昏迷,进行抗病毒治疗。
在诱导昏迷状态下,可限制病毒传播速度,让大脑得到更多保护,长时间存活。
存活时间延长后,身体有可能产生足够抗体。
然后通过一系列抗病毒药物处理,等到免疫系统有足够反应,再把患者唤醒。
但也有观点认为,密尔沃基疗法当初成功治愈的小女孩感染的是蝙蝠携带的狂犬病毒,毒性较弱。
其次,女孩的康复可能主要得益于自身免疫系统。
而且,密尔沃基疗法几乎无法复制,犬类狂犬病例中,没有病发后存活的患者。
总的来说,狂犬病发病后的死亡率几乎为100%,当前任何存活案例都是不可复制的个例。
当今任何声称能治愈已发病的犬类狂犬病的,都是智商税。