头部外伤,第一次CT没看到问题,一天后却有出血,什么情况?

发布时间:2024-09-03

Image

头部外伤后,第一次CT检查未发现异常,但一天后却出现了颅内出血,这种情况虽然罕见,却极其危险。2019年,一位35岁的男子在一次摩托车事故中头部受伤,当时CT检查未发现明显异常。然而,24小时后,他突然出现剧烈头痛、呕吐等症状,再次CT检查发现硬膜下血肿,紧急手术后才转危为安。

这种延迟出现的颅内出血,医学上称为“迟发性脑出血”。它之所以危险,是因为初期症状可能不明显,容易被忽视。随着时间推移,颅内压力逐渐升高,可能导致严重的神经系统损害,甚至危及生命。

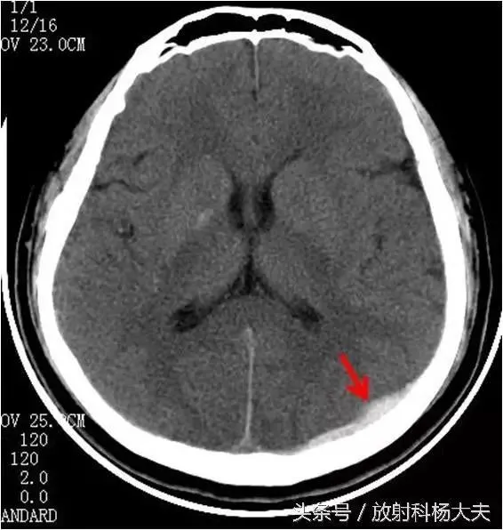
迟发性脑出血的形成与颅内血肿密切相关。根据血肿的位置,可分为硬膜外血肿、硬膜下血肿和脑内血肿。其中,硬膜下血肿最为常见,约占颅内血肿的40%。这种血肿通常由连接大脑皮质和硬脑膜的静脉断裂引起,血液在大脑和硬脑膜之间积聚,压迫脑组织。值得注意的是,硬膜下血肿可分为急性、亚急性和慢性三种,其中慢性硬膜下血肿可能在受伤后数周甚至数月才出现症状。

头部外伤后进行CT检查时,需要注意以下几点:首先,应去除所有金属物品,如耳环、发卡等;其次,患者头部要摆正,下颌内收,保持不动;第三,检查前应空腹;最后,对于孕妇、碘过敏者或严重肝肾功能损害的患者,应谨慎使用增强CT。

对于头部外伤患者,即使初次CT检查未发现异常,也应密切观察至少24小时,并根据症状变化及时复查CT。美国神经外科学会建议,对于有意识障碍、呕吐、头痛加剧等症状的患者,应在伤后6-12小时进行复查CT。

一旦发现迟发性脑出血,治疗方案需根据出血部位、出血量和患者症状而定。对于血肿较大、颅内压明显升高的患者,可能需要紧急手术清除血肿。手术方式包括开颅血肿清除术和钻孔引流术等。对于血肿较小、症状较轻的患者,可采取保守治疗,如使用脱水剂降低颅内压,或使用止血药物控制出血。

除了急性处理,头部外伤后的康复也至关重要。患者可能面临认知功能下降、情绪波动、睡眠障碍等问题,需要进行系统的康复治疗。康复团队通常包括神经外科医生、物理治疗师、言语治疗师、心理医生等多学科专家。

预防永远胜于治疗。在日常生活中,我们应该提高安全意识,特别是在进行高风险活动时,如骑摩托车、滑雪、骑马等,务必佩戴合适的头盔。对于老年人和服用抗凝药物的患者,更应格外小心,避免跌倒等意外。

头部外伤后,即使初次检查未发现异常,也不能掉以轻心。持续观察、及时复查是关键。记住,任何头部受伤后出现的新症状,如头痛加剧、呕吐、意识改变等,都应立即就医。只有这样,我们才能最大限度地降低迟发性脑出血的风险,保护我们的大脑健康。