结节性筋膜炎影像表现

发布时间:2024-09-16

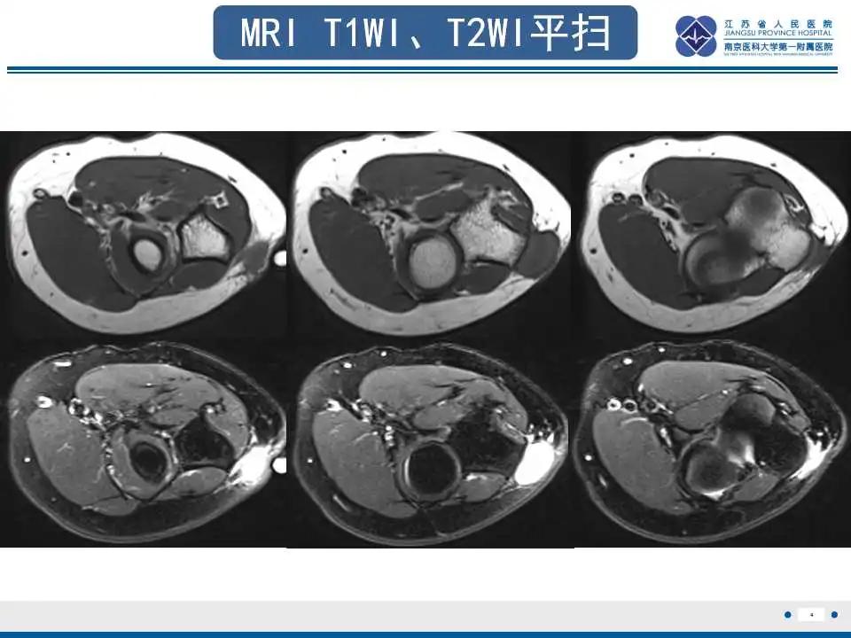
Image

结节性筋膜炎是一种生长迅速的良性病变,常被误诊为恶性肿瘤。准确的影像学诊断对于避免不必要的手术和治疗至关重要。本文将重点介绍结节性筋膜炎在CT和MRI上的典型表现,帮助临床医生提高诊断准确性。

结节性筋膜炎CT表现特征

在CT平扫图像上,结节性筋膜炎通常表现为紧贴筋膜生长的圆形或椭圆形软组织密度肿块。这些肿块的密度略低于或等于肌肉组织,与周围组织分界清晰。值得注意的是,少数病例可能出现侵袭性征象,如与周围肌群分界不清或邻近骨质破坏。

增强扫描时,结节性筋膜炎病灶会呈现明显均匀或不均匀强化。这种强化特征有助于与某些恶性肿瘤鉴别。

MRI检查揭示结节性筋膜炎独特影像

MRI在显示结节性筋膜炎的细节方面具有优势。在T1加权图像上,病变通常表现为等信号或略高信号。而在T2加权图像上,病变则呈现高信号或稍高信号。增强后,病灶会明显强化,这种强化模式与CT增强类似。

结节性筋膜炎在MRI上还有一些独特的影像特征:

  1. 蟹足征:病变呈浸润性生长,边缘可见长短不一的毛刺状强化。

  2. 筋膜尾征:病变沿筋膜浸润性生长,形成鼠尾状强化,这是筋膜型结节性筋膜炎的特征性表现。

  3. 反靶征:在T2加权图像上,病变外周呈低信号,中央为高信号,形成环状强化。

  4. 假包膜征:由于病变推压周围组织而形成,主要见于肌内型结节性筋膜炎。

结节性筋膜炎影像学诊断要点

在诊断结节性筋膜炎时,影像学医生应注意以下几点:

  1. 病变部位:结节性筋膜炎最常见于皮下和深筋膜,尤其是上肢、前臂及头颈部。

  2. 生长速度:病程通常较短,肿块在1-2周内迅速增大。

  3. 影像特征:CT和MRI上的典型表现,特别是筋膜尾征、蟹足征等特殊征象。

  4. 鉴别诊断:需要与韧带样纤维瘤、炎性肌纤维母细胞瘤、神经纤维瘤等疾病鉴别。

总之,结节性筋膜炎的影像学表现具有一定的特异性,尤其是MRI上的特殊征象。熟练掌握这些影像特征,结合临床表现,可以大大提高诊断的准确性,避免不必要的手术和治疗。