超声支气管镜引导下的经支气管针吸活检术让肺部病变早日现形!

发布时间:2024-09-02

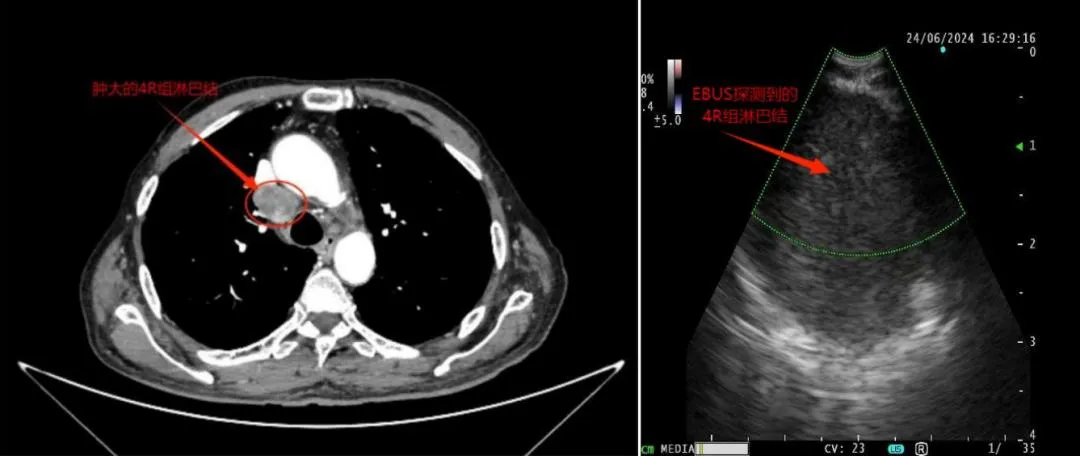
Image

超声支气管镜引导下的经支气管针吸活检术(EBUS-TBNA)正在成为肺部疾病诊断的“新利器”。这项技术通过在支气管镜前端安装超声探头,结合专用的吸引活检针,在实时超声引导下进行针吸活检。搭载的电子凸阵扫描的彩色能量多普勒还能帮助确认血管位置,防止误穿血管,大大提高了传统TBNA的安全性和准确性。

在肺癌诊断中,EBUS-TBNA的应用价值尤为突出。肺癌是一种常见的恶性肿瘤,其发病率和死亡率近年来呈上升趋势。准确的诊断和治疗对于延长肺癌患者的生存期、提高生存质量至关重要。EBUS-TBNA作为一种微创、操作简单、可重复性强的检查方法,不仅能保证病理组织的有效取材,还能减轻穿刺损伤。

商丘市第一人民医院的一项研究对36例疑似肺癌患者进行了EBUS-TBNA检查。结果显示,平均穿刺时间为(4.53±1.18)分钟,平均穿刺深度为(27.43±5.69)毫米。仅1例患者在穿刺过程中出现轻微感染,并发症率仅为1.33%。这表明EBUS-TBNA具有很高的安全性。

在诊断准确性方面,EBUS-TBNA的表现同样令人印象深刻。研究显示,EBUS-TBNA诊断肺癌的敏感性、特异性、阳性预测值和阴性预测值分别为96.77%、80.00%、96.77%和80.00%。这意味着EBUS-TBNA能够准确识别绝大多数肺癌患者,同时有效避免误诊。

相比传统的外科纵隔镜检查,EBUS-TBNA具有明显优势。它不仅创伤更小,操作更简便,而且诊断准确性相当甚至更高。因此,EBUS-TBNA有望成为肺癌纵隔分期的新标准,甚至可能取代部分外科纵隔镜检查。

EBUS-TBNA的应用范围不仅限于肺癌诊断。它还可以用于诊断肺内肿瘤、不明原因的肺门和纵隔淋巴结肿大以及纵隔肿瘤等。随着技术的不断进步和临床经验的积累,EBUS-TBNA在肺部疾病诊断中的应用前景将更加广阔。

总的来说,超声支气管镜引导下的经支气管针吸活检术正在成为肺部疾病诊断的重要工具。它不仅提高了诊断的准确性和安全性,还为患者提供了更微创、更舒适的检查体验。随着这项技术的进一步推广和应用,我们有理由相信,更多肺部疾病的早期诊断将成为可能,为患者的治疗和预后带来积极影响。