腹痛做B超,显示肠系膜淋巴结肿大,这是什么情况?

发布时间:2024-09-16

Image

腹痛做B超,发现肠系膜淋巴结肿大,这是什么情况?这个问题困扰着许多患者和家长。让我们一起来了解一下这个常见但又容易被误解的病症。

肠系膜淋巴结肿大是指腹部B超检查发现肠系膜区域的淋巴结增大。这种状况在儿科门诊中发生率极高,特别是在15岁以下儿童中较为常见。患者通常会出现腹痛、恶心、呕吐等症状,腹痛多位于脐周或接近脐周。

那么,为什么会出现肠系膜淋巴结肿大呢?原因主要有两种:生理性和病理性。

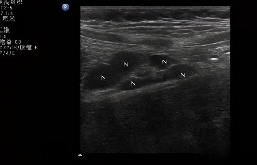
生理性原因主要与儿童的生长发育有关。儿童时期是淋巴系统增殖的活跃时期,尤其是回肠末端及回盲部是淋巴结分布的主要部位之一。因此,健康儿童腹部B超检查是可以见到肠系膜淋巴结的,但其淋巴结最大长径一般小于1.0 cm。

病理性原因则包括多种情况。最常见的原因是反应性肿大,常见于肠道及肠道外疾病或感染等,以及外界刺激如食物过敏、食物不耐受等。此外,还有一些少见的病因,如淋巴瘤、肠结核等。

在诊断方面,目前尚无统一的诊断标准。国内多数学者认为,在一个切面内肠系膜区域显示3个以上淋巴结,最大淋巴结长径>1.0 cm,短径>0.5 cm,长径/短径>2可以诊断为肠系膜淋巴结肿大。而国外多数学者以最大淋巴结长径>2.0 cm,最大淋巴结短径>1.0 cm作为标准,显著高于国内标准,可能与人种差别有关。

值得注意的是,肠系膜淋巴结肿大并不等同于肠系膜淋巴结炎。肠系膜淋巴结炎的诊断需满足以下条件:具有肠系膜淋巴结炎的临床表现(发热、腹痛、恶心呕吐等);影像学检查有淋巴结肿大的证据;发病前多有上呼吸道感染病史,血常规检查可见白细胞计数正常或轻度升高,排除其他引起肠系膜淋巴结肿大的疾病如阑尾炎、肠套叠等。

在治疗方面,由于大部分肠系膜淋巴结炎是由病毒感染引起并且具有自限性,因此无需特殊干预。只有在考虑细菌感染的情况下,才可能使用抗菌药物治疗。对于无症状的淋巴结肿大,可能属于反应性的而无需特殊处理。

然而,在临床实践中,我们需要注意一些误区。首先,仅凭腹部B超诊断肠系膜淋巴结炎并不可靠,需要结合临床表现和其他检查结果。其次,肠系膜淋巴结肿大可能被误诊为其他疾病,如阑尾炎、肠套叠等,也可能漏诊一些严重疾病,如淋巴瘤、肠结核等。因此,在诊断和治疗过程中,需要全面考虑,避免过度诊断或漏诊。

总之,腹痛做B超发现肠系膜淋巴结肿大,可能是正常的生理现象,也可能是某些疾病的信号。对于患者和家长来说,最重要的是及时就医,接受专业医生的诊断和治疗。同时,也要保持理性和耐心,不要过度焦虑或轻视。只有医患双方共同努力,才能更好地应对这个常见但又复杂的病症。