张医生大白话:一文读懂脑膜瘤

发布时间:2024-09-19

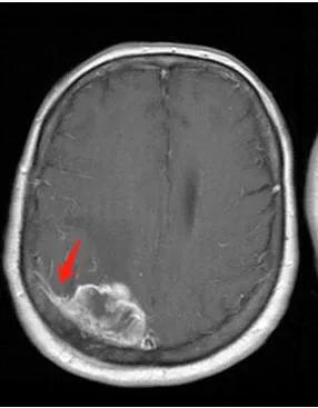
一位50岁的女性患者因持续头痛和视力模糊就诊。经过MRI检查,医生发现她大脑右侧有一个直径约3厘米的肿瘤。这个案例揭示了一种常见的脑部疾病——脑膜瘤。

脑膜瘤是一种起源于脑膜(包裹大脑和脊髓的膜)的肿瘤。尽管它不是真正的脑肿瘤,但会挤压相邻的脑组织、神经和血管。脑膜瘤是最常见的头部肿瘤,占所有脑肿瘤的30%左右。大多数脑膜瘤生长极其缓慢,往往在多年内都不会引起症状。然而,它们有时会影响附近的脑组织、神经或血管,导致严重失能。

脑膜瘤的症状通常缓慢开始,最初可能很难注意到。常见的症状包括视力改变、头痛(尤其是早晨更严重)、听力减退、记忆丧失、嗅觉丧失、癫痫发作、肢体无力和说话困难等。值得注意的是,脑膜瘤多发于女性,且常见于老年人群。任何年龄均可发病,但风险随年龄增长而增加。

诊断脑膜瘤主要依靠神经系统检查和影像学检查。CT扫描和MRI扫描是常用的诊断工具。有时,可能需要进行活检以排除其他类型的肿瘤,并确认脑膜瘤的诊断结果。

治疗脑膜瘤的方法取决于多种因素,包括肿瘤的大小、位置、生长速度以及患者的年龄和整体健康状况。对于未引起症状且生长缓慢的小脑膜瘤,可能无需立即治疗,而是进行定期监测。对于需要治疗的脑膜瘤,主要的治疗方案包括手术、放疗和药物治疗。

手术是治疗脑膜瘤的首选方法。外科医生的目标是尽可能多地切除肿瘤,同时尽量减少对周围脑组织的损伤。然而,由于脑膜瘤可能靠近脑或脊髓中的脆弱结构,有时可能无法完全切除整个肿瘤。在这种情况下,医生会尽可能多地切除肿瘤,并考虑后续的放疗。

放射疗法是另一种重要的治疗手段,尤其适用于无法通过手术彻底切除的脑膜瘤。现代放射技术,如立体定向放射外科手术(SRS)、分次立体定向放射治疗(SRT)、调强放射治疗(IMRT)和质子束放射疗法,可以精确地照射肿瘤区域,同时减少对周围健康组织的损害。

药物治疗在脑膜瘤的治疗中应用较少,但当手术和放疗效果不佳时,可以考虑使用化疗或靶向治疗。目前,研究人员正在积极开发新的药物治疗方法。

脑膜瘤的预后因个体差异而异。大多数良性脑膜瘤的预后良好,患者可以长期存活。然而,恶性脑膜瘤的预后较差,可能需要更积极的治疗。治疗后的患者可能会面临一些长期并发症,如注意力不集中、记忆力减退、人格改变、癫痫发作、虚弱无力、感官变化和语言障碍等。医疗团队会尽力治疗这些并发症,并帮助患者适应新的生活方式。

目前,没有确切的方法可以预防脑膜瘤。然而,对于有脑肿瘤家族史或遗传性综合征的人群,定期进行筛查可能有助于早期发现小型脑膜瘤,从而提高治疗成功率。此外,保持健康的生活方式,如均衡饮食、适度运动和充足睡眠,也有助于维持整体健康,间接降低患病风险。

脑膜瘤是一种需要认真对待的疾病,但通过及时诊断和适当治疗,许多患者可以过上正常的生活。如果您或您认识的人出现持续的头痛、视力改变或其他神经系统症状,请及时就医,以便尽早发现和治疗潜在的脑膜瘤。