20岁之后,还能长高吗?

发布时间:2024-09-19

一只成年霸王龙在活着的时候,骨骼持续生长,直到生命的最后一刻;而人类的身高在20岁左右就会停止生长,定格于此。

那么,身高到底是由什么决定的?20岁之后,是否还有可能再长高?

身高的增长本质上依赖于骨骼的延长,主要涉及到脊柱的椎骨和椎间盘,以及下肢的骨头。

这些骨骼的形成原理是相同的,首先是软骨的出现,随后软组织逐渐钙化,骨头得以逐渐生长、延长,最终形成。

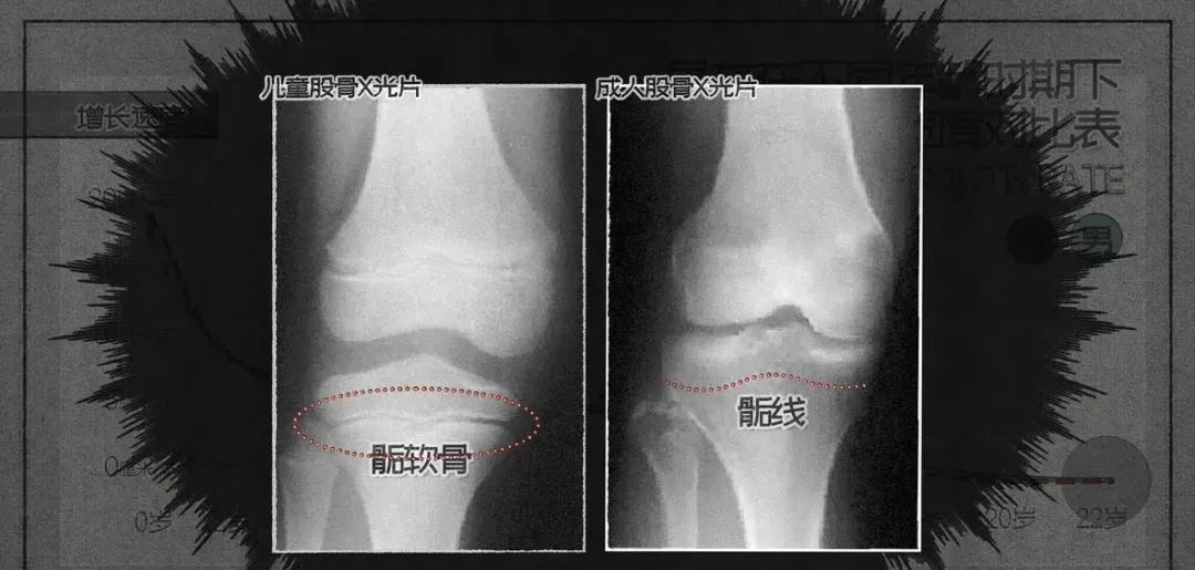
以大腿的股骨为例,从出生到成年期间,骨干部与两端之间始终保留着一定厚度的软骨层,称之为骺板或生长板。

这一软骨不断增殖和骨化,使得骨头得以延长,从而使个体逐渐长高。

身高的增长速度并不均匀。

婴儿时期的年增长可达20厘米;而到了青春期,生长速度迎来了第二个高峰。

因为雌激素促进生长激素的分泌,女生发育期较早,12岁左右的女生一年可以长高8-9厘米,而男生的高峰期一般在14岁左右,年增长大约为10厘米。

这个美好的过程,通常在22岁左右画上句号。

随着骺软骨逐渐闭合,转变为薄薄的骨组织,进一步的软骨将不再增加,骨头因此停止了延长。

当所有骨骼完全不再增长时,身高也将停止上升。

不同部位的闭合时间不同,值得庆幸的是,腿部的骨头闭合时间相对较晚,约在24岁左右。

因此,长高的关键在于在骺软骨完全闭合之前,尽可能让骨骼增长更长。

在这个过程中,激素、营养和外部机械刺激都是至关重要的因素,可以逐一加以改善。

生长激素主要由大脑分泌,与多种因素密切相关。

其中,最容易控制的便是充足的睡眠。

睡眠与生长激素的分泌密切相关。

从一张图中可以看出,在24小时之内,生长激素的分泌并不均匀,而是在入睡后的第一两个小时内达到高峰。

这个时段的生长激素分泌量占全天的58%,对于长高具有重要的战略意义。

如果缺乏睡眠,你将失去这一高峰,生长激素的分泌也随之减少。

不过,生长激素的分泌与具体入睡的时间关系不大,只要保证良好的睡眠质量,即使在8点钟天亮才入睡,仍然有机会长高。

曾经备受追捧的“长高针”,其实就是生长激素,但适用于真正缺乏生长激素的儿童。

盲目注射可能会影响内分泌,甚至可能花费数万元只换来一厘米的增长。

除了良好的睡眠,另一个关键在于合理饮食。

骨骼的加长需要各类营养,包括钙、维生素A、C、D等。

例如,维生素D负责编织体内的钙平衡,为骨骼的生长提供必要的原材料。

在日照较长的高纬度地区,民众的营养条件更加优越,个体的体型也因此更加庞大。

早已有人发现,高纬度地区的居民通常比中低纬度地区的人要高。

在中国,越往南方,男女的平均身高也似乎呈现下降的趋势。

这一现象不仅限于人类,南极的企鹅比其他地区的企鹅个体更加高大,北极熊也是如此。

这被称为“伯格曼法则”,即同一类恒温动物体型会随着生活地区纬度的提升而增大。

这并非是因为低温环境使动物长高,而是因为在寒冷地区,种群数量较少,竞争压力小,动物们较容易获得足够的营养。

而对于物质富裕的人类来说,有效的增高方法之一就是,通过肉、蛋、奶等食物来保证充足的营养。

如果营养未能跟上,即便生长激素水平升高,也难以实现身高的增长。

体育锻炼作为一种外部刺激,会使身体能量供不应求,进而促使生长激素的分泌增加,以提高血糖水平,分解贮存的脂肪,为身体补充能量。

然而,个人的努力所带来的改变是有限的。

身高增长中60%至80%的影响,源于遗传基因。

激素、营养、外部刺激等可控因素,最多只会让你达到由基因决定的上限。

值得庆幸的是,即使超过24岁,骺软骨已完全闭合,虽然身高不再增长,但骨骼依然在发生变化。

骨骼是一个代谢活跃的器官,存在着生成与消解的动态平衡。

到60岁左右,夜间分泌的生长激素已经不到年轻时的一半,骨骼形成的速度完全无法满足破坏的速度。

如果没有外部干预,身高也将因此迎来新的变化——身高的缩水。

制作人员
动效:孟帅、杨艺贝
分镜:kumi let me do it for u
文稿:谢不敏
配音:let me do it for u~

❖ 欢迎分享哦 ❖