夏天到了,汗斑反复总不好,你应该这样做

发布时间:2024-09-19

Image

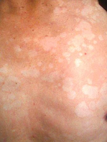
炎炎夏日,不少人的皮肤上悄然出现了点点白斑。这些白斑究竟是什么?又该如何应对?让我们一起来揭开汗斑的神秘面纱。

汗斑,又称为花斑癣,是一种常见的夏季皮肤病。它通常出现在前胸、肩背、腋窝等常被衣物遮盖且容易出汗的部位,表现为褐色、淡褐色或白色的片状斑疹。这些斑疹在遇热或饮酒后可能会变成淡红色,并伴有轻微瘙痒。

许多人误以为汗斑是由汗水直接引起的,因此得名。然而,真相并非如此简单。汗斑实际上是一种真菌感染,罪魁祸首是一种名为马拉色菌的微生物。这种真菌是人体皮肤上的常驻菌,通常与我们和平共处。但在高温潮湿的夏季,马拉色菌会抓住机会大量繁殖,从而引发汗斑。

那么,我们该如何预防和治疗汗斑呢?以下是一些实用建议:

  1. 保持皮肤干爽:在炎热天气里,尽量避免大量出汗。如果出汗较多,应及时更换干爽衣物,保持局部皮肤通风干燥。

  2. 注意个人卫生:勤洗澡,尤其是在运动后,要及时清洁皮肤。但要注意,过度清洁可能会破坏皮肤的天然屏障,因此每天洗澡不宜超过一次。

  3. 使用抗真菌产品:如果汗斑发作面积不大,可以外用一些抗真菌药膏,如联苯苄唑乳膏、特比萘芬乳膏等。也可以尝试中药外洗,如使用黄柏、川楝子、红花等中药煎水外洗。

  4. 注意防晒:阳光中的紫外线会加速皮肤色素沉着,加重汗斑症状。因此,选择适合自己肤质的防晒产品,坚持每天防晒非常重要。

  5. 调整饮食:避免进食辛辣刺激的食物,如辣椒、胡椒等,以免加重症状。

值得注意的是,汗斑并不具有传染性。虽然马拉色菌是每个人皮肤上都有的常驻菌,但要引发汗斑还需要特定的条件。因此,与汗斑患者接触并不会导致感染。

此外,一些人可能会陷入治疗汗斑的误区。例如,盲目使用美白产品可能会进一步损伤皮肤屏障,导致汗斑更加严重。正确的做法是选择适合自己肤质的皮肤护理产品,而不是一味追求快速淡化斑点。

总的来说,汗斑虽然常见,但并非不可预防和治疗。只要我们了解其形成机制,采取适当的预防措施,并在必要时寻求专业医生的帮助,就能轻松应对这个夏季“常客”。让我们一起享受清凉舒适的夏日,远离汗斑的困扰吧。