气胸可怕吗?记住3个症状、4种处理

发布时间:2024-09-15

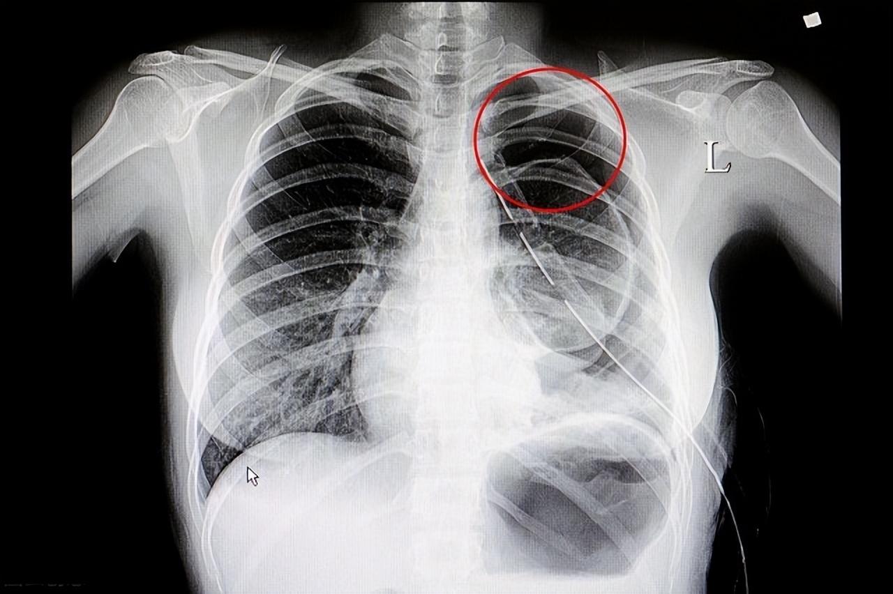
Image

17岁的小叶是一名瘦高个小伙,身体素质良好,肺部无疾病。然而,在一次搬运矿泉水桶时,他突然感到剧烈的胸痛和呼吸困难。急诊入院后,医生发现他的右肺体积减小,右侧胸腔内有气体,诊断为自发性气胸。这个案例生动地展示了气胸的危险性,也引发了我们对这一疾病的关注。

气胸是指气体进入胸膜腔,造成积气状态。 根据气体进入的原因,可分为外伤性、医源性和自发性。其中,自发性气胸又可分为原发性和继发性。 原发性气胸多见于瘦高体型的年轻男性 ,通常由肺尖部的肺大疱或小气囊肿破裂引起。继发性气胸则与基础肺病如慢性阻塞性肺部疾病、肺结核、肺癌等有关。

气胸的症状主要包括胸痛、呼吸困难和刺激性咳嗽。 胸痛通常是单侧的,因为壁层胸膜和脏层胸膜分离时会触发痛觉神经纤维。呼吸困难的程度取决于漏气量和基础心肺功能,严重时可能出现大汗淋漓、濒死感等。这些症状可能在持重物、屏气、剧烈运动、剧烈咳嗽或用力解大便后诱发,但也可能在睡眠中突然发生。

一旦怀疑气胸,应及时就医。 医生通常根据病史、典型症状和胸部听诊来初步判断,然后通过普通胸片或胸部CT来确诊。对于肺压缩面积小于20%、首次发作且病情稳定的气胸,可采取保守治疗,如高浓度吸氧和使用镇静剂、止咳剂。大多数患者可在7-14天内自行吸收。

对于需要治疗的气胸,有几种处理方法:

  1. 直接抽气:适用于紧急情况或病情稳定的小量气胸。
  2. 胸腔闭式引流:适用于气胸量较大或病情可能进展的情况。当漏气停止后,一般夹管24小时复查胸片或胸部CT证实肺膨胀良好,方可拔出引流管。
  3. 胸腔镜手术:适用于气胸经过治疗复张不理想、持续漏气、复发性气胸、张力性气胸、自发性血气胸、双侧气胸、胸片上有明显肺大疱或有特殊职业需求的患者。胸腔镜手术创伤小、术后疼痛轻、并发症少、美观,是预防复发的首选方法。

值得注意的是, 自发性气胸的复发率较高,研究报告从25%到50%不等。 因此,对于高风险人群,如瘦高体型的年轻男性、吸烟者,应特别注意预防。避免剧烈运动、用力咳嗽等可能增加胸腔内压的动作,保持良好的生活习惯,定期体检,都是预防气胸的有效措施。

气胸虽然危险,但只要我们提高警惕,及时就医,遵医嘱治疗,大多数患者都能顺利康复。让我们共同关注呼吸健康,远离气胸的威胁。