脑内多发异常信号的病变,求分享思路

发布时间:2024-09-19

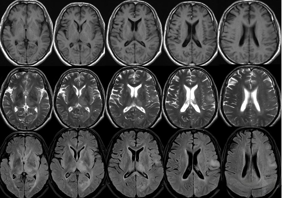
Image

脑内多发异常信号的病变是一种复杂的神经系统疾病,其诊断和治疗都面临着巨大挑战。这种病变通常表现为脑部MRI图像上多个区域出现异常信号,可能由多种原因引起,包括炎症、脱髓鞘、肿瘤等。由于病变的多样性和复杂性,准确诊断往往需要经过一系列详细的检查和排除性诊断。

一个典型的案例可以说明这种病变诊断的复杂性。一位46岁男性患者因头痛、反应迟钝等症状就诊。起初,MRI显示双侧大脑半球多发异常信号,右额叶病灶有占位效应和大片水肿,被误诊为“胶质瘤”。然而,手术后的病理检查结果出人意料,显示为特殊类型的小血管病变,而非肿瘤。随后,患者又经历了多次病情反复和诊断调整,最终被确诊为一种罕见的遗传性脑小血管病——视网膜血管病变伴白质脑病和全身表现(RVCL-S)。

这种病变的常见原因包括多发性硬化症、脑血管炎、脱髓鞘疾病等。其中,多发性硬化症是最常见的特发性炎症性脱髓鞘疾病之一,其诊断标准也在不断更新和完善。2017版McDonald标准强调了MRI在诊断中的重要性,要求通过MRI证实空间多发性和时间多发性。

在诊断方面,MRI是最重要的工具之一。典型的MS病灶在MRI上表现为脑室旁、皮层或近皮层、幕下、脊髓等部位的T2高信号灶。增强扫描时,急性期病灶可出现环形或半环形强化。此外,脑脊液检查也是重要的诊断手段,寡克隆区带(OB)阳性可以支持诊断。

治疗方面,目前尚无根治方法,主要以控制症状和减缓疾病进展为主。对于急性发作,可使用皮质类固醇如甲泼尼龙进行冲击治疗。长期治疗则包括使用疾病调修药物(DMT),如干扰素β、醋酸格拉替雷等。此外,还需要针对具体症状进行对症治疗,如使用肌肉松弛剂缓解痉挛,使用抗抑郁药物改善情绪等。

然而,这种病变的诊断和治疗仍然面临诸多挑战。首先,病变的多样性和复杂性使得准确诊断往往需要经过多次检查和排除性诊断。其次,由于缺乏特效治疗方法,患者的预后往往不理想。最后,对于一些罕见的遗传性病变,如RVCL-S,其诊断和治疗更是困难重重。

未来,随着医学技术的进步,我们期待能够开发出更精准的诊断方法和更有效的治疗方法。同时,加强对这种病变的基础研究,探索其发病机制,也将为开发新的治疗策略提供重要线索。对于临床医生而言,提高对这种病变的认识,加强多学科协作,将有助于提高诊断准确性和治疗效果,为患者提供更好的医疗服务。