这几种常见脑血管疾病影像诊断,需要掌握

发布时间:2024-09-18

Image

作为一名神经科医生,我每天都要面对各种复杂的脑血管疾病。在这些疾病中,有三种特别值得关注,因为它们不仅常见,而且容易被误诊。正确识别这些疾病的关键在于精准的影像诊断技术。

脑出血与蛛网膜下腔出血的影像学特征

脑出血和蛛网膜下腔出血是两种急性脑血管疾病,它们的共同特点是起病急骤,症状剧烈。然而,这两种疾病在影像学表现上却有显著差异。

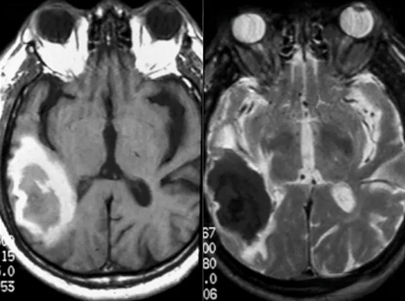
脑出血通常表现为CT图像上的高密度影 ,而MRI则显示为T1加权像上的高信号和T2加权像上的低信号。这种影像特征反映了血液中的铁离子对磁场的干扰。值得注意的是,脑出血的影像表现会随着时间而变化。在超急性期(发病后0-6小时),CT可能无法清晰显示出血灶,而MRI的DWI序列则可以敏感地捕捉到早期出血。

相比之下, 蛛网膜下腔出血的影像学表现更为特异 。CT检查通常能清晰显示脑池、脑沟中的高密度影,而MRI则在T1加权像上显示为高信号。这种影像特征是由于血液中的血红蛋白分解产物与脑脊液混合所致。

脑梗死的早期诊断挑战与影像学进展

脑梗死是最常见的缺血性脑血管疾病 ,其影像学诊断面临着独特的挑战。在发病初期(0-6小时),CT可能无法显示明显的异常。然而, MRI的DWI序列却能在发病后几分钟内就显示出梗死区域 ,这为早期诊断和治疗提供了宝贵的机会。

值得注意的是,脑梗死的影像表现会随着疾病进程而变化。在急性期(6-24小时),CT开始显示低密度影,而MRI的T2加权像则显示高信号。在亚急性期(24小时-2周),CT上的低密度影变得更加明显,而MRI的T2加权像则显示为高信号。这种动态变化为临床医生提供了重要的诊断线索。

影像学诊断在脑血管疾病中的关键作用

影像学检查在脑血管疾病的诊断中扮演着至关重要的角色 。然而,仅仅依靠影像学是不够的。作为一名神经科医生,我深知临床症状和体征的重要性。例如,突然发生的剧烈头痛,尤其是伴有呕吐和意识改变的症状,可能是脑出血或蛛网膜下腔出血的征兆。而一侧肢体无力或麻木,可能是脑梗死的早期表现。

在实际诊疗中,我们需要将影像学检查与临床表现相结合,才能做出准确的诊断。例如,一位50多岁的高血压患者突然出现剧烈头痛,CT检查显示脑内高密度影,这很可能是脑出血。而如果CT检查未发现明显异常,但患者仍有剧烈头痛,我们就要考虑蛛网膜下腔出血的可能性,可以进一步做MRI检查来明确诊断。

对于脑梗死,早期识别尤为重要。如果一位患者突然出现一侧肢体无力,CT检查未发现异常,我们就要考虑做MRI的DWI序列检查,以尽早发现梗死灶。及时的诊断意味着可能的溶栓治疗机会,这可能极大地改善患者的预后。

总之,作为一名神经科医生,我深知影像诊断在脑血管疾病诊疗中的关键作用。然而,我们也不能忽视临床症状和体征的重要性。只有将两者有机结合,我们才能为患者提供最精准的诊断和治疗。