有人说肺生水就是癌,这判断太简单粗暴了,至少还有其他五种原因

发布时间:2024-09-02

Image

肺生水并不等同于癌症。肺生水,医学上称为肺水肿,是一种常见的呼吸系统疾病,其特征是肺部积聚过多液体。这种病症可能由多种原因引起,而不仅仅是癌症。

肺水肿的原因多种多样。最常见的是心脏问题,尤其是心力衰竭。当左心室无法有效泵血时,会导致肺部压力升高,促使液体渗入肺泡。具体原因包括冠状动脉疾病、高血压、心肌病等。此外,肺部疾病如肺炎、肺栓塞,以及高海拔环境都可能导致肺水肿。

高原肺水肿(HAPE)是登山者和高海拔旅行者面临的一大风险。研究表明,当海拔超过2400米(约8000英尺)时,未经过适当适应的人更容易发生HAPE。这种情况下,肺血管收缩导致压力升高,促使液体从血管渗入肺组织。

除了上述原因,肺水肿还可能由药物反应、接触毒素、神经系统疾病等多种因素引起。例如,某些药物如阿司匹林、海洛因等都可能导致肺水肿。吸入有毒烟雾或胃内容物也可能引发肺水肿。

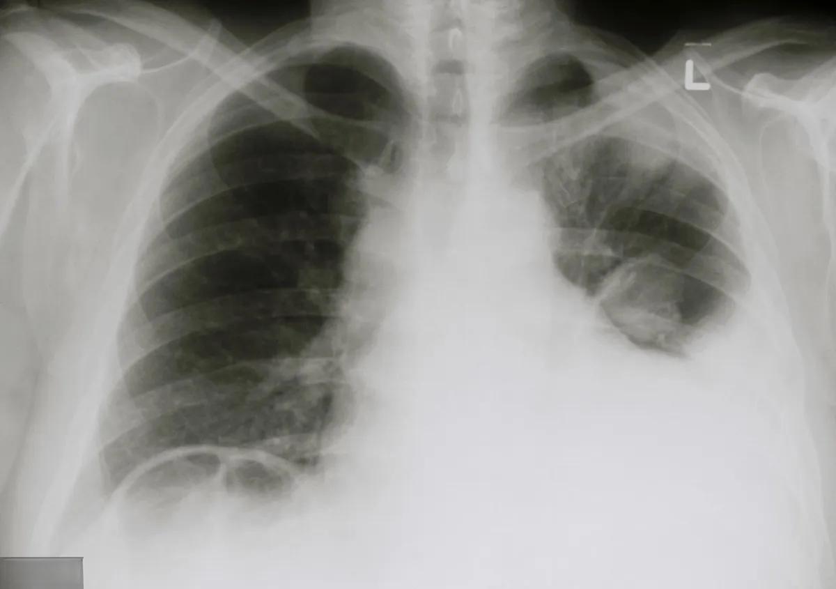
肺水肿的症状包括呼吸困难、咳嗽、胸痛等。急性肺水肿患者可能会出现极度气短、咳出泡沫状痰液,甚至带血。诊断通常需要进行胸部X线检查、CT扫描、动脉血气检测等。

治疗肺水肿通常包括补充氧气和药物治疗。利尿剂如呋塞米可以帮助降低心脏和肺部的压力。血压药物和正性肌力药也可能被使用。对于高原肺水肿,立即下降至较低海拔是最有效的治疗方法。

预防肺水肿的关键在于管理潜在的健康问题和采取健康的生活方式。对于心脏疾病患者,控制血压和血糖水平至关重要。前往高海拔地区时,应逐步升高海拔,每日升高不超过300至360米(1000至1200英尺)。此外,戒烟、限制盐分摄入、定期运动等都有助于降低肺水肿的风险。

总之,肺生水并非简单的癌症信号,而是由多种复杂因素引起的病症。了解其多样化的病因对于正确诊断和治疗至关重要。如果出现相关症状,应及时就医,接受专业诊断和治疗。