非均匀性脂肪肝的原因

发布时间:2024-09-03

Image

Image

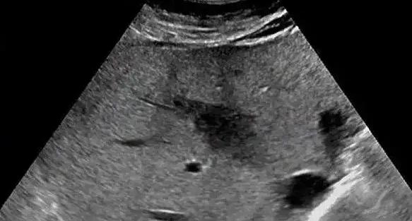
非均匀性脂肪肝是一种特殊的脂肪肝类型,其特点是脂肪在肝脏内的分布不均匀。与弥漫性脂肪肝不同,非均匀性脂肪肝在超声图像上表现为不规则的片状低回声或强回声区域,边界清晰,内部回声均匀。这种特殊的影像学表现常导致误诊,需要与肝肿瘤或肝血管瘤等疾病进行鉴别。

非均匀性脂肪肝的形成与多种因素有关。首先,不健康的生活方式是主要诱因之一。长期过量饮酒、高脂高糖饮食、缺乏运动等习惯都会增加患病风险。其次,遗传因素也扮演着重要角色。研究表明,某些个体可能因为遗传原因更容易在肝脏中积累脂肪。此外,胰岛素抵抗、2型糖尿病、高胆固醇等代谢性疾病也与非均匀性脂肪肝的发生密切相关。

值得注意的是,非均匀性脂肪肝并非无害。如果不加以控制,它可能会发展为非酒精性脂肪性肝炎(NASH),进而导致肝硬化甚至肝癌。美国梅奥诊所的数据显示,约24%的成人患有非酒精性脂肪肝病(NAFLD),其中1.5%至6.5%的成人患有NASH。这些数字凸显了非均匀性脂肪肝潜在的健康风险。

面对非均匀性脂肪肝,预防和早期干预至关重要。以下是一些有效的预防和改善措施:

  1. 调整饮食结构:减少高脂、高糖食物的摄入,增加蔬菜、水果和全谷物的比例。每天摄入的脂肪不应超过40克,胆固醇不超过200毫克。

  2. 保持健康体重:超重和肥胖是脂肪肝的重要风险因素。通过合理饮食和适度运动,将体重控制在健康范围内。

  3. 增加体育活动:每周进行至少150分钟的中等强度有氧运动,如快步走、游泳或骑自行车。

  4. 戒酒限酒:酒精会抑制肝脏中脂类物质的代谢分解,因此应尽量避免饮酒。

  5. 定期体检:对于有家族史或其他风险因素的人群,应定期进行肝功能检查和影像学筛查。

目前,非均匀性脂肪肝的治疗主要依赖于生活方式的调整。对于症状较重的患者,医生可能会考虑使用一些降脂药物或抗氧化剂。然而,这些药物的疗效和安全性还需要更多的临床研究来验证。未来,随着对疾病机制的深入理解,可能会开发出更有针对性的治疗方法。

总的来说,非均匀性脂肪肝是一种需要引起重视的肝脏疾病。通过积极的生活方式干预,大多数患者可以有效控制病情,甚至逆转脂肪肝。对于高风险人群,定期体检和专业咨询尤为重要。只有提高公众对这种疾病的认识,才能更好地预防和管理非均匀性脂肪肝,保护肝脏健康。