5大CT征象诊断脑梗死

发布时间:2024-09-16

Image

脑梗死是最常见的脑血管疾病,占脑卒中的75%。早期诊断和治疗是降低其病死率、致残率的关键。虽然MRI弥散加权成像和灌注加权成像对超急性和急性期脑梗死的诊断有一定帮助,但CT平扫仍是目前最常用的颅脑影像学检查方法。

CT平扫出现以下5种征象可提示脑梗死:大脑中动脉高密度征、豆状核模糊征、岛带征、低密度征和局部脑肿胀征。

大脑中动脉高密度征是脑梗死的典型CT表现。它代表受累动脉内的血栓,一般好发于大脑中动脉起始部。CT值多在60-90 HU,呈僵硬的“杵状”影。例如,一位患者在晚上9点左右出现失语和左侧肢体无力,11点半做CT检查时发现右侧大脑中动脉高密度征,右颞叶密度较左侧稍减低。两天后复查时,右额颞叶可见片状高、等、低混杂密度影。

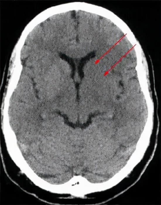
豆状核模糊征通常出现在梗死发作1小时内。这是由于基底节的细胞毒性水肿所致,提示近端的大脑中动脉闭塞使豆纹动脉血流受限。一位患者在出现症状2小时后做CT检查,发现右侧豆状核边缘模糊,密度稍减低。随后的MRI检查证实了这一发现。

岛带征是岛叶外侧缘灰白质消失的结果。岛叶对缺血最为敏感,尤其在大脑中动脉的岛段供应区域。一位患者在出现症状8天后复查CT,发现左侧岛叶及基底节区可见稍高、低混杂密度影。

低密度征表现为脑灰质密度轻度降低。在超早期梗死病变区,由于血管源性水肿较轻,脑实质密度减低程度较小。当双侧相同部位CT值差值1.8 HU以上,在排除其他病变的基础上,可诊断超急性期脑梗死。一位患者在出现左侧肢体活动不灵6小时后做CT检查,发现左侧颞顶叶可见大片状稍低密度影。

局部脑肿胀征表现为局部脑组织肿胀,脑沟变浅、消失,脑组织表面光整。这是脑组织水肿形成的占位效应。一位患者在出现失语和右侧肢体无力后做CT检查,发现左侧颞叶密度稍减低,左侧外侧裂池变浅。24小时后复查时,左侧额颞顶叶可见大片状低密度影。

相比MRI,CT在诊断脑梗死方面具有速度快、操作简便、费用较低等优势。然而,CT对超急性期(<6小时)脑梗死的敏感性较低,约为30%-50%,而MRI可达80%-90%。CT的特异性较高,约为90%-95%,但MRI的特异性较低,约为70%-80%。

尽管如此,CT在脑梗死诊断中仍具有独特价值。它能快速区分脑出血和脑梗死,指导下一步治疗。同时,CT还能评估脑水肿、脑肿胀等继发性改变,为治疗决策提供依据。然而,CT也有其局限性,如对小血管病变的显示不如MRI清晰,对某些特殊类型的脑梗死(如腔隙性脑梗死)的诊断敏感性较低。

总的来说,CT在脑梗死的早期诊断中扮演着重要角色。通过识别特定的CT征象,医生可以及时发现脑梗死,为患者争取宝贵的治疗时间。然而,对于超急性期或某些特殊情况,可能需要结合MRI等其他影像技术进行综合判断。