孩子发育迟缓囊肿惹的祸?家长:到底该不该手术?正确建议来了!

发布时间:2024-09-18

Image

当一个家庭得知孩子患有脑部囊肿时,父母往往面临着艰难的抉择:是否应该进行手术?这个问题没有简单的答案,因为每个孩子的具体情况都不尽相同。让我们深入探讨这个问题,帮助家长做出更明智的决定。

儿童脑部囊肿是一种常见的颅内良性病变,其中蛛网膜囊肿最为多见。这种囊肿通常在儿童时期被发现,约占所有颅内占位性病变的1%。虽然多数小囊肿不会引起明显症状,但当囊肿增大时,可能会对儿童的发育造成严重影响。

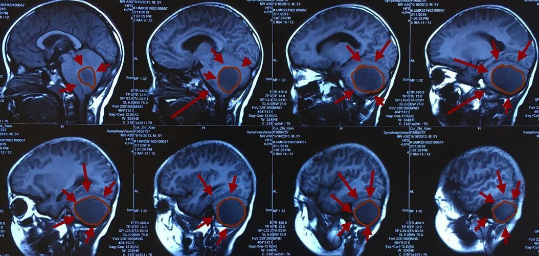
一位来自昭通彝良的11岁男孩就遭遇了这样的困境。他自幼运动发育迟缓,2岁才能独立行走,且行走时向左侧偏斜。随着年龄增长,他还出现了言语缓慢及左上肢不自主抖动等症状。最终,头颅MRI检查发现他左侧中颅窝有一个巨大的蛛网膜囊肿,大小约6x5cm。

对于这样的情况,手术通常是必要的。手术的目的是解除囊肿对脑组织的压迫,防止进一步的神经功能损害。常见的手术方法包括囊肿-腹腔分流术、显微开颅囊肿切除术+脑池沟通术,以及神经内镜下囊肿切除术+脑池沟通术。其中,神经内镜手术因其对脑组织损伤较小、伤口较小、术后并发症较少而逐渐成为主流选择。

然而,手术并非没有风险。可能的并发症包括硬膜下积液、感染、出血等。因此,是否手术、何时手术,需要医生根据囊肿的大小、位置、增长速度以及患儿的症状来综合判断。

对于无症状、囊肿体积小于3cm的患儿,医生可能会建议密切随访观察,或通过药物进行保守治疗。定期的影像学检查(如CT或MRI)非常重要,以便及时发现囊肿的变化。

值得注意的是,即使决定手术,家长也需要做好心理准备。一位6岁男孩在接受内镜手术后,虽然术后恢复良好,但仍然需要持续的康复训练来改善记忆力和性格问题。这提醒我们,手术只是治疗的一部分,术后的康复和长期随访同样重要。

面对这样的决策,家长可以考虑以下几点建议:

  1. 寻求专业意见:与神经外科专家充分沟通,了解孩子的具体情况和治疗选项。

  2. 考虑多学科协作:涉及儿童的治疗往往需要多学科协作,包括神经外科、儿科、康复科等。

  3. 了解手术风险:详细了解手术的潜在风险和并发症,做好心理准备。

  4. 关注长期发展:不仅要考虑当前的症状,还要关注手术对孩子长期发育的影响。

  5. 参考成功案例:了解类似案例的治疗过程和结果,可以增加信心。

  6. 保持积极态度:无论选择何种治疗方式,家长的积极态度对孩子来说都至关重要。

总之,儿童脑部囊肿的治疗是一个复杂的过程,需要医生和家长的共同努力。早期诊断、个体化治疗方案、以及长期的随访和康复,都是确保孩子健康成长的关键。面对这样的挑战,家长需要保持冷静,充分了解各种治疗选项,与医生密切合作,为孩子做出最适合的决定。