动物组织he染色石蜡切片制作实验报告-上海郑核

发布时间:2024-09-16

Image

在生物学研究中, 石蜡切片技术是一种重要的组织学制备方法。 通过这一技术,我们可以将动物或植物组织制成薄片,以便在显微镜下观察其微观结构。最近,我在实验室进行了动物组织HE染色石蜡切片的制作实验,以下是我的实验报告。

动物组织HE染色石蜡切片制作流程

实验开始时,我们首先需要取材。 我选择了小鼠的肝脏组织作为实验材料。 取材时要注意动作迅速,以免组织细胞的成分和结构发生变化。接着,我们将切好的肝组织用生理盐水冲洗后,立即投入卡诺固定液中固定30-50分钟。

固定完成后,我们需要对组织进行一系列的处理,包括洗涤、脱水、透明、透蜡和包埋。这些步骤的目的是为了使组织能够被切成薄片,并保持其原有的结构。其中, 脱水和透明是关键步骤,需要特别注意操作细节。

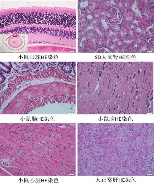
最后,我们使用切片机将包埋好的组织切成厚度为4-10微米的薄片。切片完成后,还需要进行脱蜡复水、染色、封藏等步骤。HE染色是组织学中最常用的染色方法,通过苏木精和伊红两种染料,可以使细胞核呈现蓝色,细胞质呈现粉红色。

影响HE染色效果的关键因素

在实验过程中,我发现有几个因素对HE染色的效果有着重要影响:

  1. 固定液的选择和固定时间。不同的组织可能需要不同的固定液和固定时间,这需要根据实际情况进行调整。

  2. 脱水和透明的彻底性。如果脱水不彻底,会导致透明效果不佳,影响切片质量。

  3. 染色时间的控制。 苏木精和伊红的染色时间需要根据组织类型和染料浓度进行调整 ,过长或过短都可能导致染色不均匀。

  4. 分化步骤的掌握。分化是HE染色中的关键步骤,需要根据实际情况灵活调整,以获得最佳的染色效果。

动植物组织石蜡切片制作的异同

在实验过程中,我还注意到动物组织和植物组织的石蜡切片制作有一些不同之处:

  1. 固定液的选择不同。 动物组织常用卡诺固定液,而植物组织则常用FAA固定液。

  2. 染色方法不同。动物组织常用HE染色,而植物组织则常用番红-固绿对染法。

  3. 切片厚度不同。动物组织的切片厚度一般为4-10微米,而植物组织的切片厚度则为8-10微米。

尽管存在这些差异,但两种组织的石蜡切片制作过程在本质上是相似的,都需要经过取材、固定、脱水、透明、透蜡、包埋、切片、染色和封藏等步骤。

石蜡切片技术在生物学研究中的应用价值

通过这次实验,我深刻体会到 石蜡切片技术在生物学研究中的重要性 。这项技术不仅适用于动物组织,也适用于植物组织,为我们提供了观察和研究生物体微观结构的强大工具。无论是基础研究还是临床诊断,石蜡切片技术都是不可或缺的重要手段。

然而,我也意识到这项技术的操作过程较为复杂,需要耐心和细致。在未来的实验中,我将继续改进操作技巧,以获得更高质量的切片,为生物学研究做出贡献。