看一病知全貌,经典的MOG抗体阳性脑脊髓炎

发布时间:2024-09-15

Image

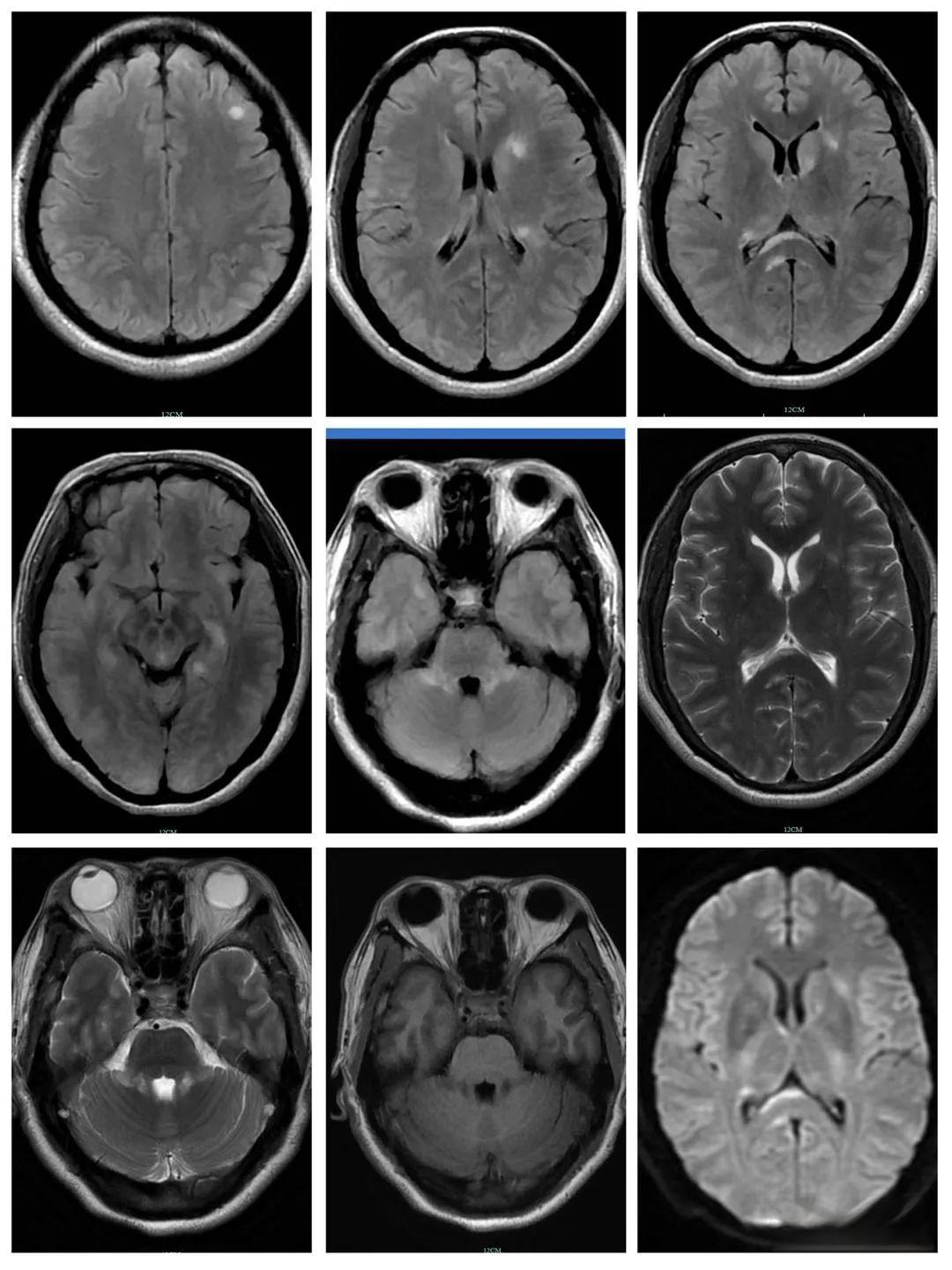
一名42岁的女性患者因“口干、眼干10年,右下肢无力10天”入院。 她10年前开始出现口干、眼干症状,后被诊断为干燥综合征(SS)和肾小管酸中毒。 然而,近来她出现了右下肢无力、左下肢麻木等症状,颈椎胸椎MRI显示颈5 7、胸2 6椎体水平髓内有长T1长T2信号影,增强呈斑片状强化。颅脑MRI也发现双侧额顶叶白质区有多发斑块样、斑点状等T1稍长T2信号。经过一系列检查,她最终被诊断为干燥综合征合并髓鞘少突胶质细胞糖蛋白(MOG)抗体相关性脑脊髓炎。

这个病例揭示了MOG抗体阳性脑脊髓炎这一罕见疾病的复杂性。 MOG抗体阳性脑脊髓炎是一种中枢神经系统特发性炎性脱髓鞘疾病 ,近年来才逐渐被认识。它与多发性硬化(MS)和视神经脊髓炎谱系疾病(NMOSD)在临床表现和影像学特征上有重叠,但又存在显著差异。

诊断MOG抗体阳性脑脊髓炎需要满足以下标准 :单相或复发性急性视神经炎、脊髓炎、脑干炎、脑干脑炎或脑炎的任何组合;MRI或电生理结果与中枢神经系统脱髓鞘相一致;通过使用全长人类MOG作为靶抗原的基于细胞的测定法检测到MOG-IgG血清阳性。此外,还需要考虑一些特定的影像学和临床表现,如纵向广泛分布的脊髓病灶、急性视神经炎发作期出现明显的视乳头水肿、中性粒细胞增多或CSF WCC>50/μL等。

值得注意的是, MOG抗体阳性脑脊髓炎与MS在治疗反应上存在显著差异。 MOG抗体阳性患者在急性发作期对抗体耗竭治疗(如血浆交换或免疫吸附法)、B细胞靶向长期治疗(如利妥昔单抗)、静脉注射免疫球蛋白(IVIG)治疗(尤其是儿童患者)以及免疫抑制治疗等特别有效。相比之下,对MS有效的药物可能对MOG抗体阳性患者无效,甚至有害。

然而,MOG抗体阳性脑脊髓炎的诊断并非易事。由于其临床表现的多样性,很容易被误诊为MS或其他疾病。一项研究显示, 约20%的MOG抗体阳性患者在确诊前曾被误诊为MS。 因此,对于疑似自身免疫性急性中枢神经系统脱髓鞘的患者,需要根据特定的临床表现和辅助检查结果来决定是否进行MOG-IgG检测。

尽管MOG抗体阳性脑脊髓炎的预后通常较好,但仍有约10%的患者会出现严重的后遗症 ,如视力丧失或严重的运动功能障碍。这提醒我们,早期诊断和及时治疗对改善患者预后至关重要。

随着研究的深入,我们对MOG抗体阳性脑脊髓炎的认识正在不断深化。未来,我们需要进一步探索其发病机制,开发更准确的诊断方法,并寻找更有效的治疗方法。同时,建立MOG抗体阳性脑脊髓炎的登记系统,收集更多病例数据,也将有助于我们更好地理解这种罕见疾病。