关于交叉配血中常见的凝集反应,你了解吗

发布时间:2024-08-29

Image

交叉配血试验是确保输血安全的关键步骤,但有时会出现令人困惑的凝集反应。这些反应可能由多种因素引起,包括冷凝集、药物干扰、不规则抗体等。正确识别和处理这些凝集反应对于保障患者安全至关重要。

冷凝集反应是一种常见的非特异性凝集现象。当我们在做交叉配血时发现主侧盐水法和凝聚胺介质法均出现凝集,但抗体筛查试验为阴性时,应考虑冷凝集反应的可能性。验证方法很简单:将试管放置37℃水浴箱中孵育半分钟后观察,如果凝集消失,而4℃冰箱中凝集加重,那么就可以确认是冷凝集反应。在这种情况下,输血时应注意血袋充分恢复室温,并给患者保暖,减慢输血速度。

药物干扰是另一种可能导致假阳性凝集反应的因素。某些药物分子可能粘附在红细胞表面,导致类似“凝集”的现象。这种情况常出现在重症监护患者身上,他们可能接受了大量药物治疗。处理方法是更换供血袋,并对患者红细胞进行洗涤,以减少红细胞表面药物分子的干扰。通过几次洗涤后,如果“凝集反应”消失,就可以排除药物干扰。

不规则抗体主要由大量输血或妊娠等免疫刺激产生。当交叉配血出现主侧凝集,尤其是凝聚胺介质法比盐水法更常见时,应考虑患者体内可能存在不规则抗体。这可以通过不规则抗体检测试剂(人红细胞抗原谱)进行鉴定,然后筛选相应抗原阴性的供血员进行配型。

自身抗体的情况较为复杂,常见于自身免疫性溶血性贫血患者。这些患者的血清中可能含有与所有正常红细胞反应的自身抗体,使得找到相合血液变得困难。此外,自身抗体还可能掩盖引起溶血性输血反应的红细胞同种抗体。在这种情况下,与临床医生的沟通非常重要,需要根据输血的利弊权衡来决定是否输血。

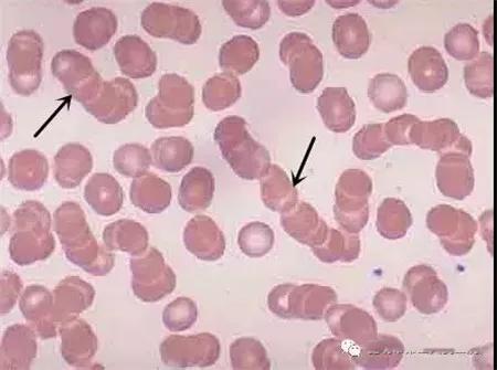
除了上述常见情况,还有一些特殊的凝集反应需要我们注意。例如,一些患者体内存在异常蛋白,如多发性骨髓瘤或巨球蛋白血症患者,可能导致红细胞表面电荷发生变化,形成缗钱状红细胞。这种现象在显微镜下与凝集反应不同,通常呈串珠样,并随时间延长而加重。识别这种现象可以避免不必要的担忧。

正确解读和处理这些凝集反应对于确保输血安全至关重要。交叉配血试验不仅仅是简单的ABO血型匹配,它还需要我们细致观察、深入分析,并结合临床情况做出判断。只有这样,我们才能真正实现交叉配血试验的初衷——保障每一位患者的输血安全。