慢性非萎缩性胃炎 严重不严重怎么看?

发布时间:2024-09-18

Image

慢性非萎缩性胃炎,又称慢性浅表性胃炎,是一种常见的胃部疾病。据统计,约50%的消化内科门诊患者属于慢性胃炎,其中慢性非萎缩性胃炎是最常见的类型之一。这种疾病的主要症状包括上腹痛、腹胀、早饱感、嗳气等消化不良表现,但也有相当一部分患者没有任何症状。

尽管慢性非萎缩性胃炎听起来令人担忧,但实际上大多数患者病情并不严重。然而,这并不意味着我们可以掉以轻心。如果不加以控制,慢性非萎缩性胃炎有可能发展成为萎缩性胃炎,甚至增加胃癌的风险。一项研究显示,约50%的慢性浅表性胃炎会演化为慢性萎缩性胃炎,而40%的慢性萎缩性胃炎会演化为肠化生,最终有8%的肠化生患者会演化为异型增生,进而可能发展为胃癌。

幽门螺杆菌(Hp)感染是慢性非萎缩性胃炎最主要的病因。据统计,70%~90%的慢性胃炎患者有幽门螺杆菌感染。这种细菌不仅会引起胃黏膜的慢性炎症,长期感染还可能导致胃黏膜的萎缩、肠化乃至异型增生和胃癌。因此,根除幽门螺杆菌是预防胃癌的重要措施之一。

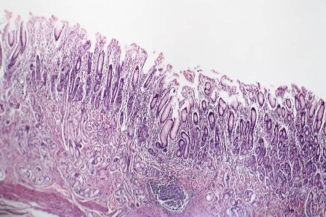
诊断慢性非萎缩性胃炎主要依靠胃镜检查和病理活检。胃镜下,慢性非萎缩性胃炎可能表现为黏膜充血、水肿、红斑、粗糙糜烂或渗出等改变。然而,仅凭内镜表现有时难以准确判断是否为萎缩性胃炎,因此病理检查至关重要。2014年的一项研究显示,以病理诊断为“金标准”,内镜诊断萎缩的敏感度仅为42%,特异度为91%。这意味着,即使内镜下未见明显异常,也不能完全排除萎缩性胃炎的可能性。

治疗慢性非萎缩性胃炎需要根据患者的具体情况制定个体化方案。对于无症状、无黏膜糜烂和无幽门螺杆菌感染的患者,通常不需要特殊治疗。但对于有症状或伴有幽门螺杆菌感染的患者,则需要采取相应的治疗措施。根除幽门螺杆菌是治疗的关键,目前推荐的方案是四联疗法,即1种质子泵抑制剂(PPI)+2种抗生素+1种铋剂,疗程14天。此外,还可以根据症状使用抑酸或抗酸药物、胃黏膜保护剂、动力促进剂等对症治疗。

除了药物治疗,改善生活习惯对预防和治疗慢性非萎缩性胃炎同样重要。建议患者进食松软易消化食物,三餐规律、定时定量,避免过饱,饮食清淡,少辣、低盐、低糖,进食温热食物,忌烟忌酒忌浓茶,避免刺激性大的食物,保持心情开朗,减少压力。

总的来说,慢性非萎缩性胃炎虽然常见,但大多数患者预后良好。只要及时发现、合理治疗,并注意日常饮食和生活习惯,大多数患者都能有效控制病情,避免病情进一步恶化。然而,定期复查仍然很重要,以便及时发现可能的病变进展。记住,健康的胃需要我们用心呵护,而良好的生活习惯是预防胃病的最佳良方。