影像总结:浅谈MRI的增强扫描

发布时间:2024-09-18

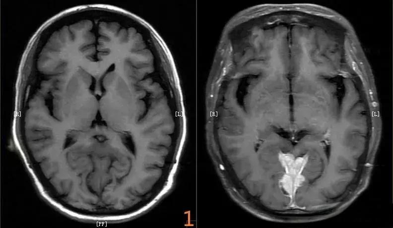
Image

磁共振成像(MRI)是一种利用磁场和射频波生成人体内部结构详细图像的检查方法。近年来,随着医学影像技术的快速发展,MRI增强扫描在临床诊断中的应用越来越广泛。

MRI增强扫描的核心原理是通过静脉注射造影剂,提高病变与其周围组织的对比度。目前临床使用较多的造影剂为钆螯合剂。这种造影剂能够影响组织的纵向弛豫和横向弛豫,从而在MRI图像上形成良好的对比度。与传统的MRI平扫相比,增强扫描能够更清晰地显示病变与组织间的对比,明确病变的大小、范围、性质、血供和与周围组织器官的关系。

MRI增强扫描在临床应用中具有独特的优势。首先,它能够发现并明确许多在平扫中难以显示的病灶。例如,对于一些体积较小或与正常组织没有明显差别的病变,增强扫描可以通过观察病变的血液供应情况来区分。其次,MRI增强扫描在血管性病变、头颅及全身血管造影中也发挥着重要作用。通过观察造影剂在血管中的分布,可以更清晰地显示正常血管及病变血管。

此外,MRI增强扫描在肿瘤的诊断和治疗评估中扮演着关键角色。对于术后、放化疗后的患者,增强扫描能够帮助医生判断病变的确切大小、侵袭程度以及治疗效果。在某些器官(如肝脏)的肿瘤及肿瘤样病变中,增强扫描能够通过多期扫描明确诊断,区分良恶性,为后续治疗提供重要依据。

值得注意的是,MRI增强扫描与CT增强扫描在临床应用中各有侧重,也存在一些区别。CT增强扫描主要通过注射碘剂来增强对X线的吸收,而MRI增强扫描则使用钆剂。这两种对比剂的相对原子质量不同,碘为127,钆为157,因此在图像上表现为不同的密度。在实际操作中,如果需要同时进行CT和MRI增强扫描,通常建议先进行CT增强,以避免钆剂残留对后续CT图像造成干扰。

随着医学影像技术的不断进步,MRI增强扫描在临床诊断中的地位越来越重要。虽然MRI增强扫描的费用相对较高,但其精准的诊断能力能够减少误诊和重复检查,从长远来看反而能节省医疗费用。目前,许多医保政策已经开始覆盖这些高端检查,降低了患者的经济负担,使得更多人能够接受这些先进的诊断技术。

总的来说,MRI增强扫描作为一种先进的医学影像技术,在提高诊断准确性、指导个性化治疗方面发挥着不可替代的作用。随着技术的进一步发展和临床应用的不断深入,我们有理由相信,MRI增强扫描将在未来的医疗实践中发挥更加重要的作用,为患者的健康保驾护航。