雾里看花 记一例后纵隔肿瘤的诊断过程

发布时间:2024-09-16

Image

Image

一位45岁的男性患者因持续背部疼痛和逐渐加重的下肢无力来到医院就诊。经过初步检查,医生怀疑患者可能患有后纵隔肿瘤。这个诊断让患者和他的家人陷入了深深的焦虑之中。

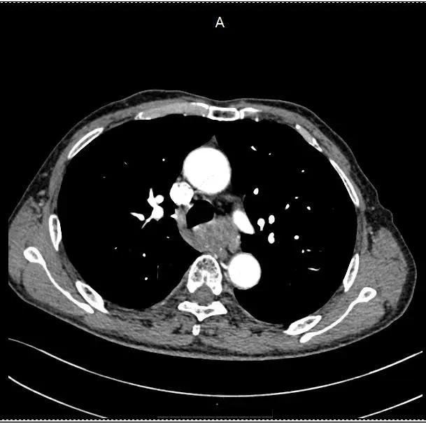
后纵隔位于胸腔的后部,包含了复杂的神经和血管结构。这里的肿瘤往往难以通过传统的X线平片确诊,需要更先进的影像技术来明确诊断。医生决定为患者进行CT和MRI检查。

CT扫描结果显示,在患者的后纵隔区域有一个约5厘米大小的肿块,边界清晰,密度均匀略低。进一步的增强CT显示,肿块在注射造影剂后有中度强化。这些特征提示医生,这个肿块很可能是神经源性肿瘤。

为了获得更详细的影像信息,医生又为患者安排了MRI检查。MRI的多序列成像能力为医生提供了丰富的信息:肿块主要位于脊柱旁,与脊髓有明显的分界,内部结构清晰,没有明显的坏死或囊变。这些发现进一步支持了神经源性肿瘤的诊断。

基于这些影像学发现,医生与患者进行了深入的沟通。他们解释说,虽然目前的证据指向神经源性肿瘤,但最终的诊断还需要通过手术活检来确定。同时,医生也向患者说明了手术的必要性和可能的风险。

这个诊断过程展示了现代医学影像技术在复杂疾病诊断中的关键作用。CT和MRI不仅能够精确定位肿瘤的位置,还能提供关于肿瘤性质的重要信息。这些信息为医生制定治疗方案提供了坚实的基础,也为患者和家属提供了更明确的疾病认知。

然而,这个案例也引发了对医疗伦理的思考。在面对不确定的诊断时,医生应该如何与患者沟通?在多大程度上应该依赖影像学证据?这些问题都需要在临床实践中不断探索和完善。

最终,这位患者接受了手术治疗。病理检查证实了医生的初步诊断:这是一个良性的神经鞘瘤。手术后,患者的症状得到了明显改善,生活质量也有了显著提高。

这个案例生动地展示了现代医学影像技术在复杂疾病诊断中的重要作用,同时也提醒我们,在面对疾病时,精准的诊断只是第一步,后续的治疗决策和患者关怀同样至关重要。