正常人口腔很难长尖锐湿疣吗

发布时间:2024-09-18

Image

口腔尖锐湿疣的发病率相对较低,但近年来有上升趋势。一项对51名生殖器外尖锐湿疣患者的研究显示,26名患者(占51%)的病变位于口腔内。这一数据表明,在各种生殖器外的尖锐湿疣中,口腔尖锐湿疣的发病率最高。

口腔尖锐湿疣是由人乳头瘤病毒(HPV)感染引起的,主要通过口交传播。HPV有多种类型,其中HPV6、11、16、18等近20种类型可感染口腔黏膜。值得注意的是,HPV感染在自然人群中较为普遍,但只有少数感染者会发展成尖锐湿疣。有学者将HPV感染和尖锐湿疣比作“冰山”,尖锐湿疣只是“冰山一角”。

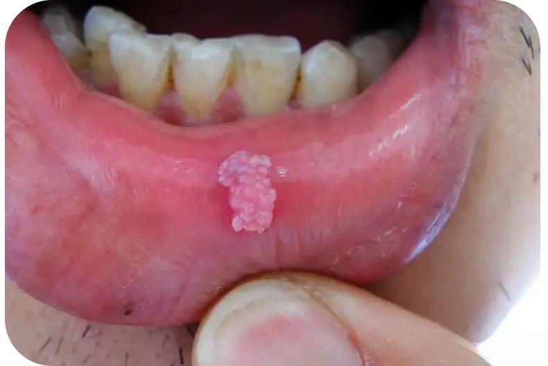
口腔尖锐湿疣的典型症状包括:病变多位于舌系带及其附近,皮疹隆起呈乳头状、菜花状、鸡冠状或鹅卵石样外观,绿豆至蚕豆大小,边界清楚,数目1~10个不等。皮疹颜色多呈淡红色或鲜红色,触之易出血。在显微镜下,可见表皮呈弥漫性角化不全,并呈乳头瘤样增生,棘细胞明显肥厚,可见空泡细胞,真皮浅部毛细血管扩张及慢性炎症细胞浸润。

近年来,口腔尖锐湿疣发病率上升的原因主要包括:性观念的改变、性行为方式的多样化,尤其是口交行为的增加。此外,不洁性生活、多性伴等因素也增加了感染风险。

口腔尖锐湿疣对患者的影响不容忽视。除了影响外观和造成不适外,还可能导致声音嘶哑、吞咽困难等症状。更重要的是,它会对患者的心理健康造成影响,如焦虑、抑郁等。此外,口腔尖锐湿疣还可能增加其他性传播疾病的风险。

预防口腔尖锐湿疣的关键在于避免不洁性行为,尤其是口交。建议使用安全套等屏障措施,减少感染风险。同时,保持良好的个人卫生习惯也很重要。对于已经感染的患者,应及时就医,接受规范治疗。治疗方法包括局部药物治疗、物理治疗(如冷冻、激光等)和手术切除等。

值得注意的是,HPV疫苗可以有效预防HPV感染,从而降低尖锐湿疣的风险。研究表明,HPV疫苗可减少90%以上女性的口腔HPV感染。因此,推广HPV疫苗接种也是预防口腔尖锐湿疣的重要措施之一。

总的来说,虽然口腔尖锐湿疣的发病率相对较低,但随着性行为方式的变化,其发病率有上升趋势。我们应该提高对这种疾病的警惕,加强性健康教育,采取有效措施预防和控制其传播。只有这样,才能更好地保护我们的健康。