房间隔膨出瘤

发布时间:2024-09-16

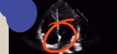
房间隔膨出瘤(Atrial Septal Aneurysm,ASA)是一种罕见的心脏疾病,长期以来一直被误认为是心脏肿瘤,给患者和医生都带来了困扰。然而,随着医学技术的进步,这种疾病的真实面目逐渐被揭开,其诊断和治疗方法也在不断演变。

ASA并非真正的肿瘤,而是由于先天性房间隔发育薄弱,在心脏负荷压力的作用下局部向低压侧心房膨隆而形成的气球样或囊袋样膨出。这种膨出还能够随心动周期的变化而在两房之间来回摆动。在临床中,ASA属于比较少见的先天性心脏病,在儿童中的发病率约0.9% 1.7%,在成人中的发病率约1.9% 2.4%,女性发病率高于男性。

长期以来,ASA的诊断主要依赖于心脏超声检查。然而,随着医学影像技术的进步,诊断方法也在不断演变。最初,传统的经胸超声心动图(TTE)是主要的诊断工具。但研究发现,经食管超声心动图(TEE)和右心对比增强经胸超声心动图(cTTE)能够更准确地检测到ASA及其相关并发症。例如,一项研究显示,TEE检测卵圆孔未闭(PFO)分流的阳性率显著高于TTE(42.72% vs 18.84%,P<0.001)。cTTE的检测率更是显著高于TTE和TEE(69.56% vs 18.84%和42.72%,P<0.001)。

ASA的诊断标准也逐渐明确。一般认为,瘤体基底部宽度≥1.5 cm,瘤深或最大活动幅度≥1.1-1.5 cm即可诊断。然而,由于ASA的诊断标准尚未达成共识,其诊断仍存在一定的挑战。

ASA的治疗方案主要取决于是否合并其他心脏病变。超过半数的ASA患者合并房间交通如PFO或房间隔缺损(ASD)。当合并PFO时,目前尚无专用封堵器,多采用PFO封堵器或ASD封堵器。合并ASD时,治疗方案则需根据ASD数量进行选择,单发ASD伴ASA可采用1个Amplatzer ASD封堵器;2个ASD缺损合并ASA的患者需要1个或1个以上封堵器,可使用Cardio-Seal封堵器或Amplatzer ASD封堵器;大于2个缺损合并ASA时,为更好地覆盖瘤体,最小限度地影响薄弱组织,可联合使用Amplatzer ASD封堵器及PFO封堵器。

值得注意的是,虽然ASA初期通常没有明显的临床症状,但越来越多的研究表明,ASA是潜在的缺血性脑卒中的危险因素。此外,ASA还常与心脏瓣膜关闭不全、室上性心律失常以及左心房应变降低有关。因此,临床医生对ASA的重视程度不断提高。

鉴于ASA并非真正的肿瘤,一些专家建议将其重命名为“房间隔瘤样膨出”。这一建议旨在消除患者不必要的担忧,同时也提醒医生关注这种疾病的真实性质和潜在风险。

从被误认为心脏肿瘤,到逐渐被正确认识和重视,ASA的诊断和治疗历程反映了医学界在应对复杂疾病时的不断进步。随着研究的深入和技术的发展,我们有理由相信,未来ASA的诊断将更加精准,治疗方案也将更加个性化和有效。