体检发现肺结节怎么治疗?

发布时间:2024-09-02

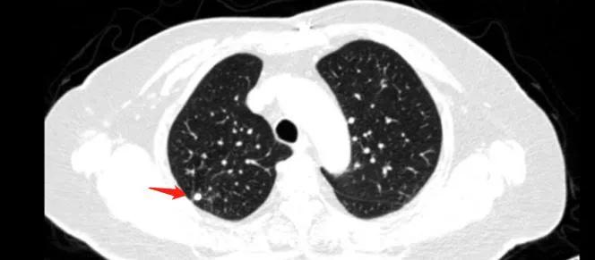
Image

近年来,随着CT筛查的普及,肺结节的检出率逐年上升。据统计,通过健康体检或肺癌筛查项目首次发现的肺部小结节中, 90%以上都是良性的 。这一数据无疑为许多担心自己患上肺癌的患者带来了安慰。

肺结节是指肺部实质内类圆形、境界清楚、直径小于等于3cm的软组织病灶。 根据结节的密度,可以分为实性肺结节、纯磨玻璃结节和混合磨玻璃结节。其中,混合磨玻璃结节(也被称为“荷包蛋”)的恶性几率最大,其次是纯磨玻璃结节(“鸡蛋清”),而实性结节(“水煮蛋”)的恶性几率相对较小。

诊断肺结节主要依靠影像学检查,其中 低剂量胸部CT平扫是最常用的筛查方法。 这种检查辐射剂量小,分辨率高,对直径小于1cm的肺结节检出率超过80%。对于直径大于8mm的实性结节或部分实性结节,还可以通过PET-CT检查来进一步评估其良恶性。

对于不同大小和类型的肺结节,处理策略也有所不同

  1. 直径小于5mm的实性结节,如果没有肿瘤病史或家族病史,恶性可能性小于1%,建议每6-12个月复查一次。

  2. 直径5-10mm的结节,恶性可能性为6-28%,建议每3个月复查一次。

  3. 直径大于10mm的结节,应每1-2个月复查一次。直径大于20mm的结节恶性概率达到80%,必须密切随访,必要时及时手术切除。

  4. 对于磨玻璃结节,我国以8mm为界,≥8mm建议3个月复查,<8mm建议每年体检复查即可。

在日常生活中,预防肺结节主要要做到:少抽烟,远离污染严重的场所,及时治疗慢性肺部疾病,保持良好的饮食和生活习惯。

最后,需要强调的是, 发现肺结节后,最关键的是到胸外科、呼吸科或是放射科就诊 ,让专业医生判断肺结节恶变的可能性大小,并根据专家意见进行下一步检查和治疗。肺结节和癌症并不直接对等,因此不要在思想上过于焦虑,积极面对,遵医嘱科学随访及治疗,一定会“消”结“解”结。