生物实验-HE染色

发布时间:2024-09-18

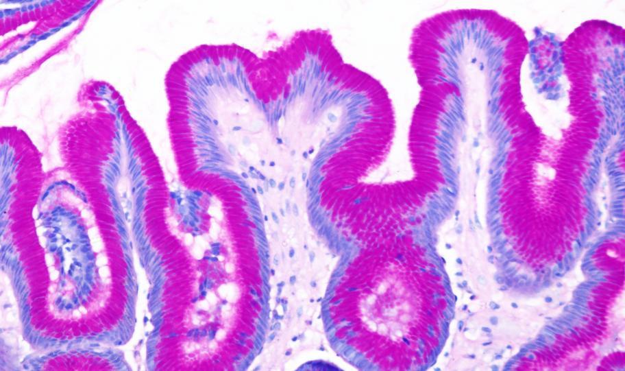
Image

苏木精-伊红染色法(HE染色)是病理学中最常用的染色技术之一,被誉为病理学的“黄金标准”。这种技术通过使用碱性染料苏木精和酸性染料伊红,能够清晰地展示细胞的结构和特征。细胞核被染成蓝色,细胞质则呈现红色,这种鲜明的对比使得病理医生能够准确判断疾病类型和严重程度。

HE染色技术的应用范围非常广泛。在疾病诊断方面,它为临床治疗提供了重要依据。在癌症研究中,通过观察癌细胞的形态和结构,可以了解癌症的发展过程和恶性程度。在器官移植领域,HE染色可以用于检测移植物的排斥反应。此外,它还在药物研发中发挥着重要作用,通过观察细胞对药物的反应,评估药物的疗效和安全性。

然而,HE染色技术也存在一些局限性。首先,它只能提供组织和细胞的形态学信息,无法直接显示特定的分子或蛋白质。其次,染色结果可能会受到多种因素的影响,如组织固定、切片厚度、染色液浓度等,这可能导致结果的不一致性。此外,传统的HE染色过程较为繁琐,需要经过多个步骤,耗时较长。

随着科技的发展,一些新兴技术正在改变传统的HE染色方法。数字病理学技术的出现,使得病理切片的数字化成为可能。通过高分辨率扫描,可以将HE染色的切片转化为数字图像,这不仅便于存储和分享,还为计算机辅助诊断提供了可能。人工智能技术的应用,使得病理图像的自动分析成为现实,大大提高了诊断的效率和准确性。

此外,一些新型染色技术也在不断涌现。例如,免疫组织化学技术(IHC)能够特异性地显示特定的蛋白质或抗原,为疾病诊断提供了更多的信息。荧光染色技术则能够同时显示多个靶标,为细胞和分子水平的研究提供了更直观的可视化手段。

尽管如此,HE染色技术仍然在病理学中占据着不可替代的地位。它作为基础的染色方法,为后续的特殊染色和分子检测提供了重要的参考。未来,HE染色技术可能会与其他先进技术相结合,形成更加全面和精准的病理诊断体系。

总的来说,HE染色技术虽然历史悠久,但仍然在现代医学诊断中发挥着重要作用。随着科技的进步,它正在不断地被改进和完善,以适应日益复杂的临床需求。在未来,我们有理由相信,HE染色技术将继续为病理学的发展做出重要贡献。