图解:颅内出现这些部位的钙化属正常?

发布时间:2024-09-02

Image

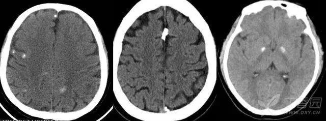
颅内钙化是指大脑中钙质异常沉积的现象。这种现象在CT检查中表现为高密度阴影,通常分为生理性钙化和病理性钙化两种类型。

生理性颅内钙化是正常的生理现象,常见于以下几个部位:

  1. 松果体:这是颅内最常见的生理性钙化之一。值得注意的是,如果钙化的松果体明显偏离中线,或者直径超过10mm,应警惕可能存在的松果体区肿瘤。

  2. 脉络膜丛:主要见于侧脑室三角区,通常呈圆形或不规则形,多数情况下为双侧对称性。

  3. 大脑镰:多呈沿大脑镰走行的线状,也可局部钙化胶着,呈梭形或球形。

  4. 基底节:40岁以上正常人中,颅脑CT扫描时发现基底节钙化也很正常,通常双侧比较对称,但也可不对称,以苍白球钙化最为常见。

  5. 小脑齿状核:意义同基底节钙化。

相比之下,病理性颅内钙化可能由多种原因引起,包括:

  1. 感染性疾病:如脑囊虫病、脑结核病等,可导致脑实质内多发、散在、结节样钙化。

  2. 代谢性疾病和内分泌性疾病:如甲状旁腺功能低下、维生素D中毒等,可引起双侧、片状、弥漫性钙化。

  3. 遗传性疾病:如结节性硬化、科克因综合症等,可导致特定部位的钙化。

  4. 肿瘤:某些颅内肿瘤,如脑膜瘤、颅咽管瘤等,也可能出现钙化。

  5. 血管性疾病:如动静脉畸形、脑三叉神经血管瘤病等,可引起条样、脑回样、铁轨样、圆点状钙化。

颅内钙化的临床意义取决于其具体原因。大多数生理性钙化不需要治疗,也没有临床症状。然而,病理性钙化可能与多种疾病相关,如癫痫、认知功能障碍、情绪异常等。因此,发现颅内钙化时,应进一步检查以明确病因。

诊断颅内钙化主要依靠CT检查,因为CT可以清楚地显示平片上不易显影的颅内钙化。MRI检查在显示钙化方面不如CT敏感,但可以提供更多的解剖信息。

预防颅内钙化,应注意以下几点:

  1. 保持规律的生活作息,避免过度劳累和熬夜。

  2. 饮食上应避免辛辣食物和酒精,多喝水,保持排尿通畅。

  3. 适当进行体育锻炼,改善血液循环。

  4. 饮食应营养均衡,多吃坚果、蔬菜和水果。

治疗颅内钙化应根据具体原因进行。例如,如果是甲状腺功能异常引起的钙化,应积极治疗甲状腺功能。如果是肿瘤引起的钙化,则可能需要手术或放疗、化疗等治疗措施。

总之,颅内钙化是一个复杂的现象,需要结合临床症状和影像学表现进行综合分析。对于无症状的生理性钙化,通常无需治疗;但对于病理性钙化,应及时就医,明确诊断并采取相应的治疗措施。