关于口腔扁平苔藓,你想知道的都在这儿了!

发布时间:2024-09-18

Image

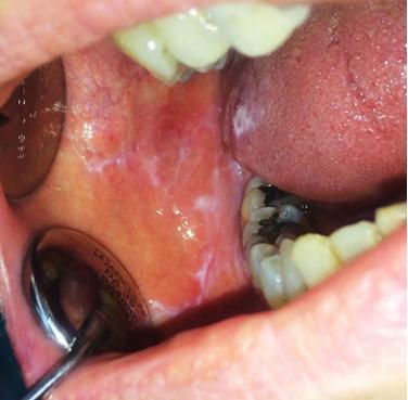
口腔里出现类似“苔藓”的白色斑块,这可能是口腔扁平苔藓的症状。这种疾病虽然听起来陌生,却是口腔黏膜病中仅次于复发性口腔溃疡的常见疾病,在全球的患病率约为0.1%~4%。

口腔扁平苔藓的症状多种多样,可能表现为口腔黏膜上的白色花纹或斑块,患者会感到粗糙不适。这些病变可能出现在舌头、牙龈、嘴唇、腭部等任何口腔内部位置,其中以两侧脸颊的黏膜部位最为常见。除了视觉上的异常,患者还可能在进食辛辣、热、酸、咸味食物时感到局部敏感或灼痛。

然而,口腔扁平苔藓的确切病因至今尚未完全明确。研究表明,其发病可能与多种因素有关,包括精神因素(如疲劳、焦虑、紧张)、免疫因素、内分泌因素、感染因素、微循环障碍因素、微量元素缺乏以及某些全身疾病(如糖尿病、感染、高血压、消化道功能紊乱)等。

对于这种疾病,及时就医非常重要。医生通常会根据病史和典型的口腔黏膜白色损害来做出初步诊断。在某些情况下,可能需要进行活检以排除恶性病变。值得注意的是,世界卫生组织(WHO)已将口腔扁平苔藓列入恶性病变的范畴,长期糜烂病损的恶变率约为0.4%~20%。

治疗口腔扁平苔藓需要因人而异,根据病情轻重和病损类型制定不同的治疗策略。对于轻微的病变,可能只需要去除局部刺激因素(如烟酒、牙石、不良修复体等),并定期随访观察。而对于较重的糜烂型口腔扁平苔藓,则可能需要积极用药干预并长期随访。

在治疗过程中,患者还需要注意日常护理。保持良好的口腔卫生习惯至关重要,建议每天至少两次使用温和的牙膏轻柔刷牙,并使用牙线清洁牙缝。在饮食方面,应避免辛辣、重盐或酸味食物,选择柔软的食物以减轻不适感。此外,戒烟限酒、避免咬嘴唇或脸颊等习惯也很重要。

值得注意的是,口腔扁平苔藓的治疗可能是一个长期的过程。一位患者在知乎上分享了自己的经历:“2021年8月13日,我第一次门诊,确诊为口腔扁平苔藓。医生告诉我,这个病会伴随终生,基本无治。但我没有放弃希望,遵医嘱治疗,最终在11月1日第二次复查时痊愈停药。”

这位患者的经历告诉我们,虽然口腔扁平苔藓难以根治,但在正确诊断、合理治疗的前提下,大部分患者可以得到良好的控制,甚至临床愈合。重要的是要保持乐观的心态,积极配合医生的治疗方案,同时注意日常护理和生活习惯的调整。

总的来说,口腔扁平苔藓虽然是一种慢性疾病,但通过科学的诊断和治疗,患者完全可以控制病情,保持良好的生活质量。如果你发现自己或家人有相关症状,请及时就医,遵循医生的指导,相信你也能像那位患者一样,战胜疾病,重获健康。