这位老乡,乏力来查,查出这么大个的纵隔肿瘤!会是什么呢?

发布时间:2024-09-18

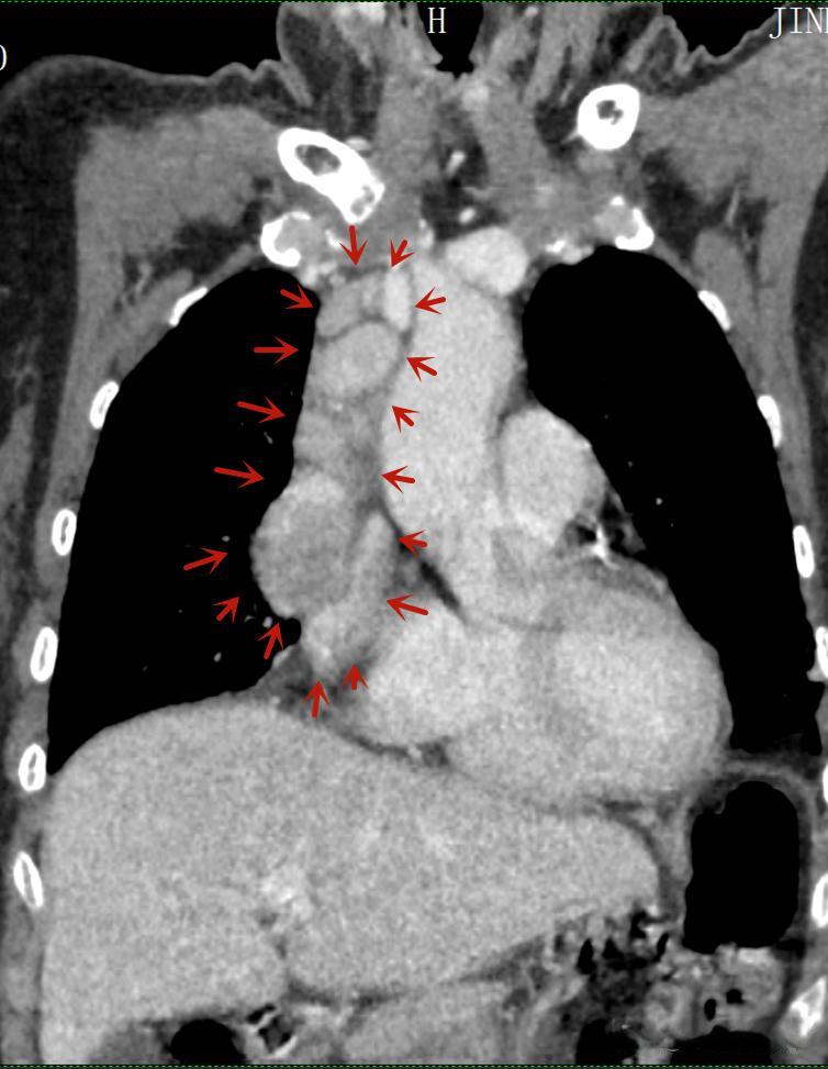
Image

44岁的小敏因持续咳嗽一个月来到武汉协和医院就诊。经过CT检查,医生发现她患有前上纵隔肿瘤。这个发现让小敏既惊讶又担忧,因为她除了咳嗽外并没有其他明显症状。幸运的是,由于及时发现和治疗,小敏在协和医院专家的手术治疗下顺利康复出院。

小敏的案例揭示了一个鲜为人知但值得关注的健康问题——纵隔肿瘤。纵隔位于颈部以下、腹部之上、双肺之间,包含心脏、食管、气管、年轻时期的胸腺以及神经等重要器官。纵隔肿瘤指的是生长在这个区域的新生物或囊肿。

值得注意的是,大多数纵隔肿瘤早期可能没有明显症状,或者仅表现为轻微的胸骨后不适感和隐痛。正如小敏的情况所示,相当一部分患者是在体检中无意发现纵隔肿瘤的。然而,随着肿瘤逐渐增大,压迫或侵及邻近器官、组织时,可能会出现一系列症状,包括胸痛、咳嗽、呼吸困难,甚至影响神经系统,导致声音嘶哑、心率变慢、恶心呕吐等。

诊断纵隔肿瘤通常需要进行一系列检查。胸部X线检查是初步筛查的重要手段,而CT和核磁共振(MRI)则能提供更详细的信息,帮助医生判断肿瘤的性质和与周围结构的关系。正电子发射计算机断层扫描(PET)在某些情况下也能提供有价值的诊断信息。

治疗方案主要取决于肿瘤的性质和分期。对于大多数原发性纵隔肿瘤,手术切除是首选治疗方法。微创手术技术,如侧胸壁单孔胸腔镜、三孔胸腔镜或剑突下胸腔镜肿瘤切除术,因其切口小、恢复快而成为许多患者的首选。对于恶性肿瘤,可能还需要辅助放疗或化疗。

以胸腺瘤为例,这是一种常见的纵隔肿瘤。根据世界卫生组织(WHO)的分类,胸腺瘤可分为A型、B型和AB型。A型和AB型的生物学行为与良性疾病相似,而B型胸腺瘤则可能合并重症肌无力等免疫疾病。治疗胸腺瘤时,医生会根据肿瘤的类型和分期制定个性化的治疗方案。

小敏的案例提醒我们,即使没有明显症状,定期体检也非常重要。早期发现纵隔肿瘤不仅能提高治疗成功率,还能显著改善预后。对于有持续咳嗽、胸痛或其他可疑症状的人群,及时就医进行相关检查尤为重要。

随着医学技术的进步,纵隔肿瘤的诊断和治疗手段正在不断改进。然而,预防仍然是最好的策略。保持健康的生活方式,定期体检,及时关注身体变化,这些都是预防和早期发现纵隔肿瘤的关键。毕竟,像小敏一样,及时发现和治疗可能意味着一个完全不同的健康结果。